檢測實驗數據

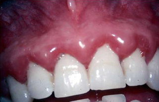
Case 1: Gingiva Bleeding

DM

Advanced Glycation End-products (AGEs)

AGEs 是還原糖和蛋白質、脂質或核酸經過Maillard reaction,形成的穩定化合物。

血液檢查

心肌梗塞

Marker Increase Peak Return
Myoglobin 1–4h 6–7h 24h
CK-MB (Creatine Kinase-MB) 3–12h 24h 2–3d
Troponins T & I 3–12h 24–48h 7–14d
LDH (Lactate Dehydrogenase) 8–12h 2–3d 7–10d

Case 2


alt text
alt text

Case 3: DM

有個欲做全口假牙的病患,在躺在治療椅上,醫師可以輕易聞到一股奇特的酸甜味道由病患口鼻中發出。此氣味來自病患的呼吸。病人是個有第二型糖尿病的中年男性。請問應做那些檢查可以評估現在病人的健康情形?


健康評估

Case 4


IgM: Reactive