組織

intro

周琇珠 學校玻片

讀ross

H&E stain

postmortem

H base blue
E acid pink

collagen fiber stain

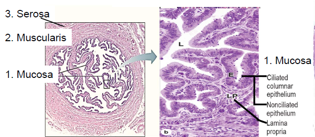
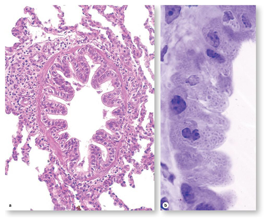
Epithelium

Apical region

cilia

9+2

microvilli

stereocilia(男性生殖管內)

Basal region

hemidesmosome

basement membrane

特化

上皮連上皮

Lateral surfaces

cell junction

zonula:皮帶

tight j.(ZO)

adherens j.(ZA) 拉鍊

desmosome(D) intermediate filament

細胞脫水可觀察

hemidesmosome:表皮連結締

Gap j.

named

[SimpleStratified][SquamousCuboidalColumnar]\rm\left[ \begin{array}{c} \rm{Simple} \\ \rm{Stratified} \end{array} \right] \left[ \begin{array}{c} \rm{Squamous} & \rm{Cuboidal} & \rm{Columnar} \end{array} \right]

多層用最上層命名

腺體分類

exocytosis
外分泌。通過胞吐作用,分泌細胞的任何部分都不會丟失。
apocrine
大汗腺。細胞的頂端積累分泌物質,頂端被夾斷以釋放產物。 ex. 乳腺
holocrine
全分泌。分泌細胞及其產物從基底膜脫落。ex. 皮脂腺

玻片tips

Connective Tissue

分類

A:胚胎時期存在

cells

extracellular matrix

graph LR; A[Extracellular matrix]-->B[Ground substance]; A[Extracellular matrix]-->C[Fibers];



collagen fibers

elastic fibers

reticular fibers

Connective tissue proper 固有結締組織

graph LR; a[CT proper]-->b[Loose CT] a-->c[Dense CT] c-->d[regular] c-->e[irregular] b-->f[Areolar tissue] d-->g(tendons, ligament) e-->h(membrane, capsules, dermis)
Dense CT Loose CT
Fibroblast
Collegen fiber(I)
-

玻片tips

collagen fiber stain

Cartilage

Perichondrium
軟骨膜,外層相似dense CT,內層分化
Chondroblasts
acting 類似Fibroblast

分類

Hyaline cartilage

Isogenic group
chondrocyte 整群在中間
Lacuna
軟骨窩(空白),chondrocyte脫水會露出

Hyaline cartilag

Fibrocartilage

Growth

Info

TEM下,合成 Fibrocartilage 的 condrocyte 有發達RER,合成hyaline,elastic有發達高基氏體

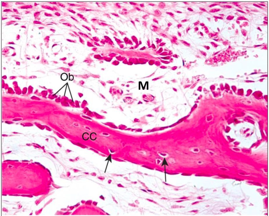
Bone

組成

periosteum
骨膜

Osteocytes
伸出細胞質(Canaliculi),互相形成gap junction
Osteoclasts
多核,roughly border 鄰骨頭(分泌H+)
Osteoblasts
periosteum下,Cuboidal

鈣化

Info

Ob 分泌collagen (I)

侵蝕

Info

維護Howship lacunae 酸性,侵蝕骨組織,再將Ca2+排到血液中

Extracellular matrix

Info

Osteons

Bone formation

begins by 8th

graph LR og[Osteogenic] ob[Osteoblasts] ost[osteoid] oc[Osteocytes] ocl[Osteoclasts] m[mesenchymal cell]-->p[periosteum] og--分化-->ob--分泌-->ost ob-->oc ost--鈣質沈澱,包圍-->oc monocytes--多個聚合-->ocl
Intramembranous ossification
膜內骨化
Endochondral ossification
軟骨內骨化

Intramembranous ossification

生成扁平骨

graph LR O[ostoeblast]--分泌-->oo[Osteoid]-->c[鈣化] O--四周-->2[Ostoeblast] O--分化-->oc[Osteocytes] m[mesenchymal cell]-->p[periosteum]
mesenchymal cell
間葉細胞

Endochondral ossification

Interstitial growth


Info

初級骨化中心向內骨化

Epiphysis
生長板

Appositional growth

加粗
需要 Osteoclast 加大骨髓腔

Info

老化

關節

Info

Synovial membrane
type A

type B

波片

https://www.histologyguide.com/

Blood

白血球

Platelet

from Mk cell(一半以上來自肺部)

發育

胚胎時期

Muscle

from 中胚層

Skeletal m.

formation

mesenchymal cell \rightarrow skeletal muscle

CT

  1. epimysium (Deep fascia) = surrounds the whole muscle
  2. perimysium = surrounds fascicles
fascicles
數十肌肉細胞束
  1. endomysium = separates individual muscle cells

Myofibrils



Dark: A band
Light: I band

細胞質

myoglobin
O2結合蛋白
SER(sarcoplasmic reticulum)
存Ca2+

細胞膜


T tubule
: 細胞膜凹陷在AI junction,傳遞電位

分類

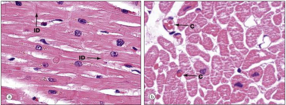
Cardiac m.

Smooth m.

Summary

Skeletal m. Cardiac m. Smooth m.
1-2 1
玻片特徵 細胞核在邊緣,疏鬆 心間盤 長條細胞核
纖維 橫紋 橫紋 無橫紋
Dense body
細胞質 myoglobin mitochondria -
sarcoplasmic
reticulum
tubule
triad
tubule
no triad
no
T-tube AI junction Z-line no
傳遞 - gap j. caveolae (Ca2+)

心血管

Epicardium

脂肪層外

Myocardium


Purkinje fibers

白色空泡

黑色:心肌 白色: Purkinje fiber

Endocardium

Simple Squamous Epithelium

血管

tunica intima(內皮)

  1. endothelial
    • basal lamina(基底膜)上
  2. Subendothelial
    • Loose CT
  3. Internal elastic lamina

tunica medial

tunica adventitia

  1. fibroblasts
    • type I
  2. vasa vasorum(血管滋養管)

分類

intima media adventitia
endothelium subendothelial internal
elastic membrane
elastin smooth muscle externa
elastic lamina
fibroelastic CT vasa vasorum
Elastic a.
防凝血, Microphages
不明顯
Muscular a. 明顯 4-40
Small a./
Arterioles
1-2
Capillaries/
Postcapillary v.
單層 pericyte
Muscular v. 1-2
Medium v. -
Large v. 不明顯

Tip

玻片動脈內無血球

Elastic arteries

特殊染色彈性纖維

彈性動脈內皮

Muscular arteries

透明帶: Elastin 圓核:Smooth m. 扁核:Fibroblast

Small arteries and Arterioles

elastin可見,外圍是1-2層平滑肌細胞

Capillaries


Venules

Medium/ Large Veins

have valves

vasa vasorum

淋巴管

細胞用疊的,間格大

Lymphatic System

Cisterna chvli
消化道淋巴匯集

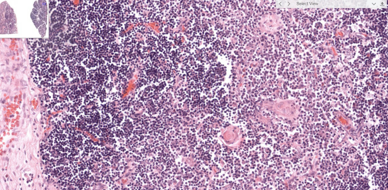
Lymph node


Epithelium reticular cell

High endothelial venule (HEV)

血管,淋巴細胞鑽出到germinal center 活化

Structure

Lymphatic nodules

Warning

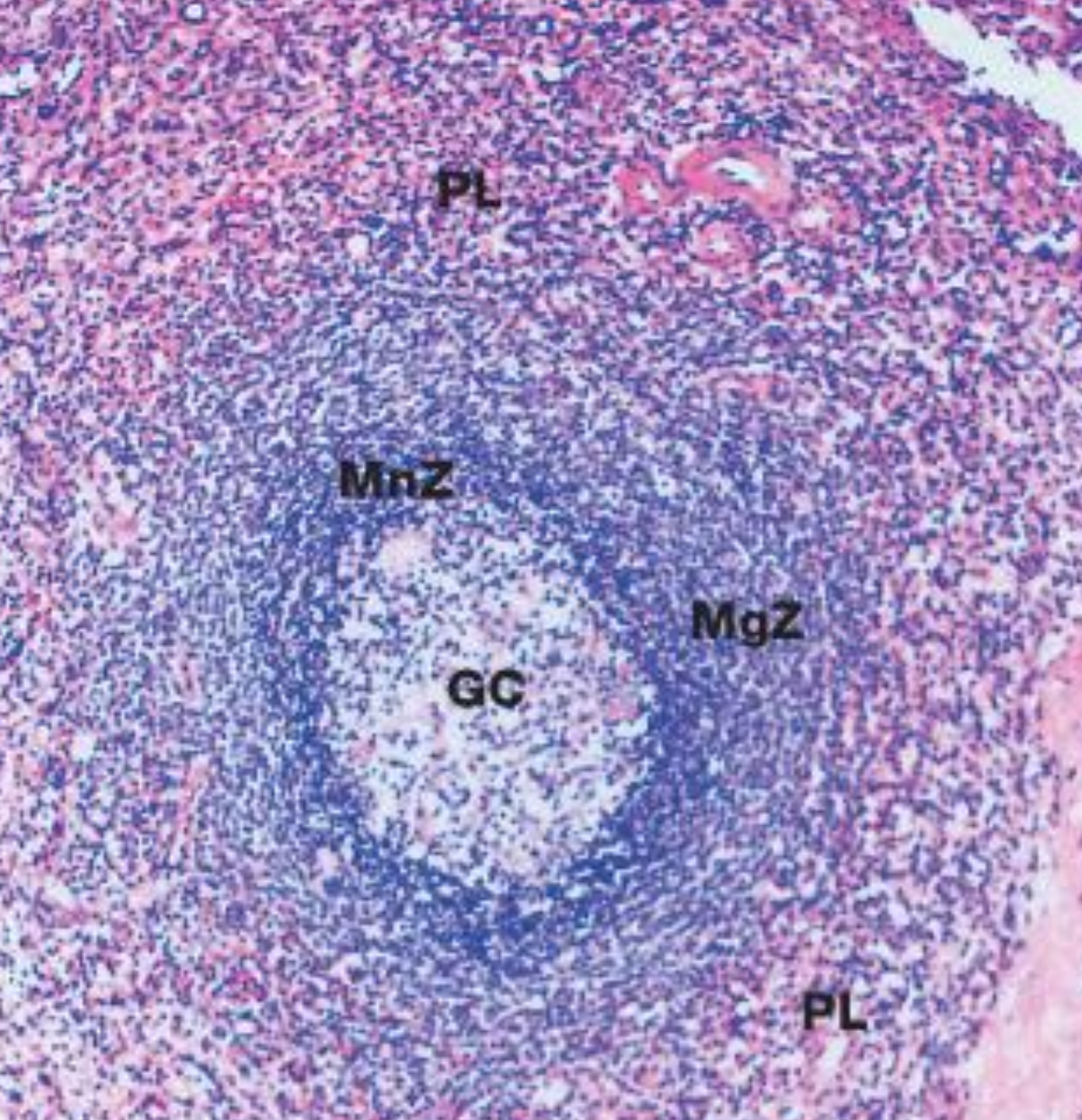
In all lymphoid organ except the thymus

Secondary nodule

形成抗體

GC: Germinal center (產生抗體, B cell)
MnZ: Mantle zone(T cell)
粉紅色: Reticular cell

Tonsil

nonkeratined
非角質化

Mucosa associated lymphoid tissue(MALT)

位於黏膜層

Aggregated lymphatic follicles(Peyer’s patches)

位於消化器官

Thymus

Tip

明顯分頁

Cortex

Blood-thymus barrier

Medulla

Hassall’s corpuscles

圍成同心圓的reticular cell

Spleen


White/red Pulp

Central artery

Lymphocyte

NK cell

Nerve tissue

Cell body

Synapses

Structural class

supporting cell

CNS


Oligodendrocyte


周圍空一圈

Astrocyte

Microglial

Tip

圓圓小顆

Ependymal cells

Eye

非瞳孔

tunica fibrosa (纖維膜)

tunica vasculosa (血管膜)

瞳孔

tunica fibrosa (纖維膜)

tunica vasculosa (血管膜)

tunica nervosa

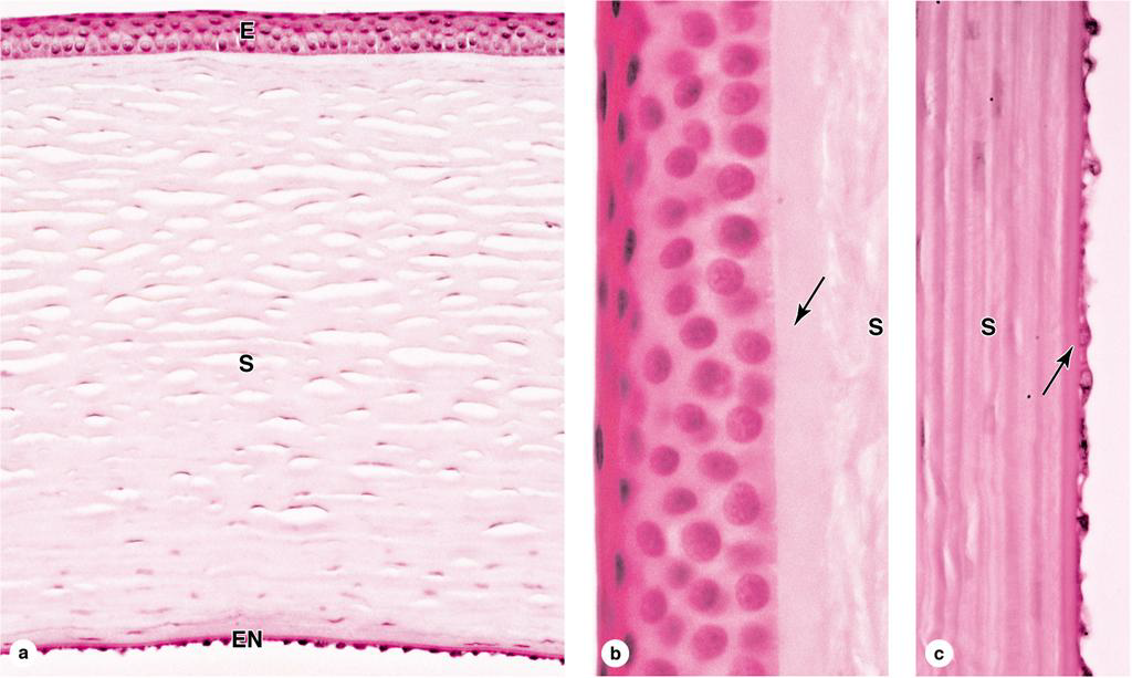
Cornea


由外而內

Lens

ciliary body 伸出 zonular fibers 連接lens

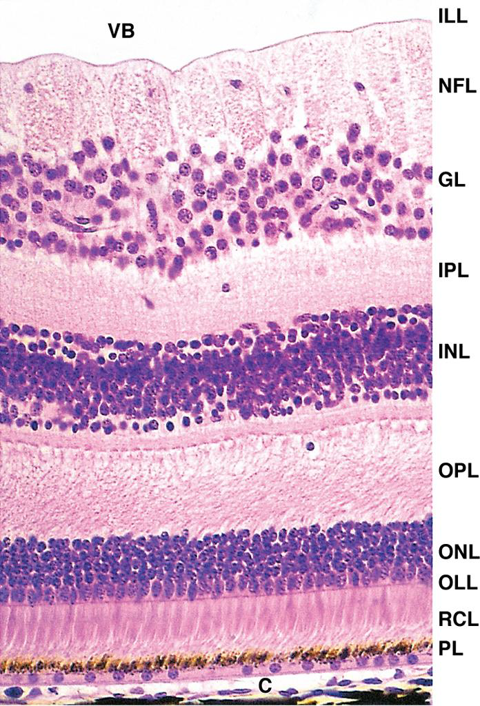
Retina

外而內

  1. pigmented epithelium
    • 色素細胞吸收光線
  2. segment layer of rods and cones
    • visual cell 的棒棒們
  3. external limiting membrane
    • Muller cells

Visual cells(rods, cones)

  1. outer nuclear layer

    • visual cells細胞核
  2. outer plexiform layer

    • 樹突

Bipolar neurons

  1. inner nuclear layer
    • horizontal (橫走,整合)

    • Bipolar neurons

    • Amacrine cells (橫走,整合)

  2. inner plexiform layer
    • 突觸

multipolar ganglion

  1. ganglion cell layer

    • multipolar ganglion cells
  2. nerve fiber layer

    • ganglion cell 軸突

Basal lamina

Optic disk

Tarsal plate

分泌黏性

lacrimal apparatus


Ear

Co:耳蝸

tympanic membrane

Middle ear

simple cuboidal epi. 組成

傳聲

  1. Oval/vestibular window (卵圓窗)

Auditory ossicles

  1. Malleus
  2. Incus
  3. Stapes

  1. Cochlear/round window(圓窗)(多餘聲波)

耳蝸

Integument

Thick Thin
Layer 5 4
Sweet g.
hair follicles
sebaceous g.
stratum lucidum
透明層

Layers

Epidermis

Cell of Epidermis

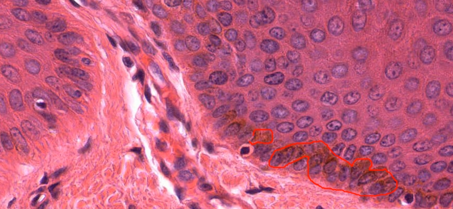
  1. Keratinocytes (角質化)
  2. Melanocytes (黑色素)
  3. Langerhans cell (免疫)
  4. Merkel cell (神經性,壓覺 )

Dermis

腺體分類

Nerve supply

Hair

  1. Infundibulum
  2. Isthmus
  3. Inferior segment

Lab

Langerhans cell

Meissner’s corpuscles

Pacinian corpuscles

Melanocytes

Sweet g.

Duct cell 是複層鱗狀

Respiratory

Nasal cavity

Olfactory epithelium

Larynx

軟骨類型

Cartilage Type
Epiglottic elastic
Thyroid hyaline
Arytenoid elastic, 
hyaline
Cricoid hyaline
C-shape hyaline

Trachea

Terminal bronchiole

Alveolar ducts


Pleura

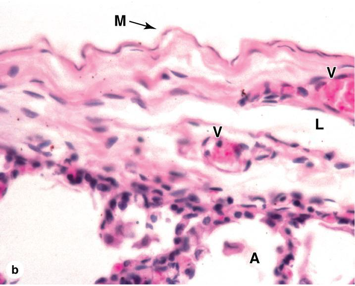
M simple squamous mesothelium
A alveoli
V blood vessel
L lymphatics

整理

Lab

Olfactory epithelium

Trachea

Lung



消化系統

Oral cavity

Mucosa

味蕾

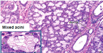
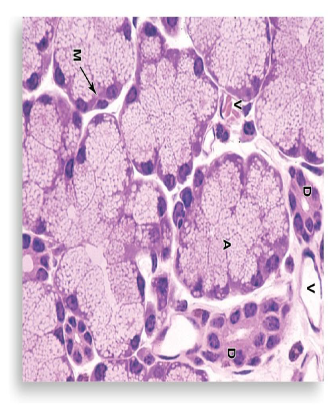
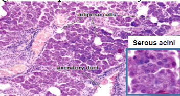
唾腺

Serous semilunar

Parotid

Submandibular

Sublingual

牙齒

Enamel

Dentin

Periodontium

Lab

泌尿系統

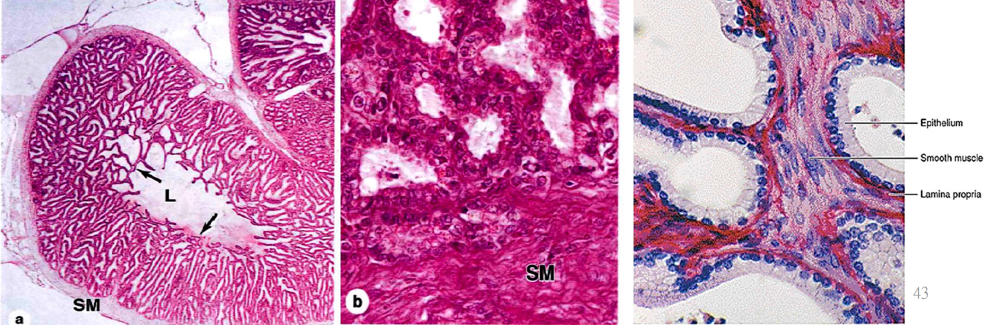
Renal

Ureter


Urinary bladder


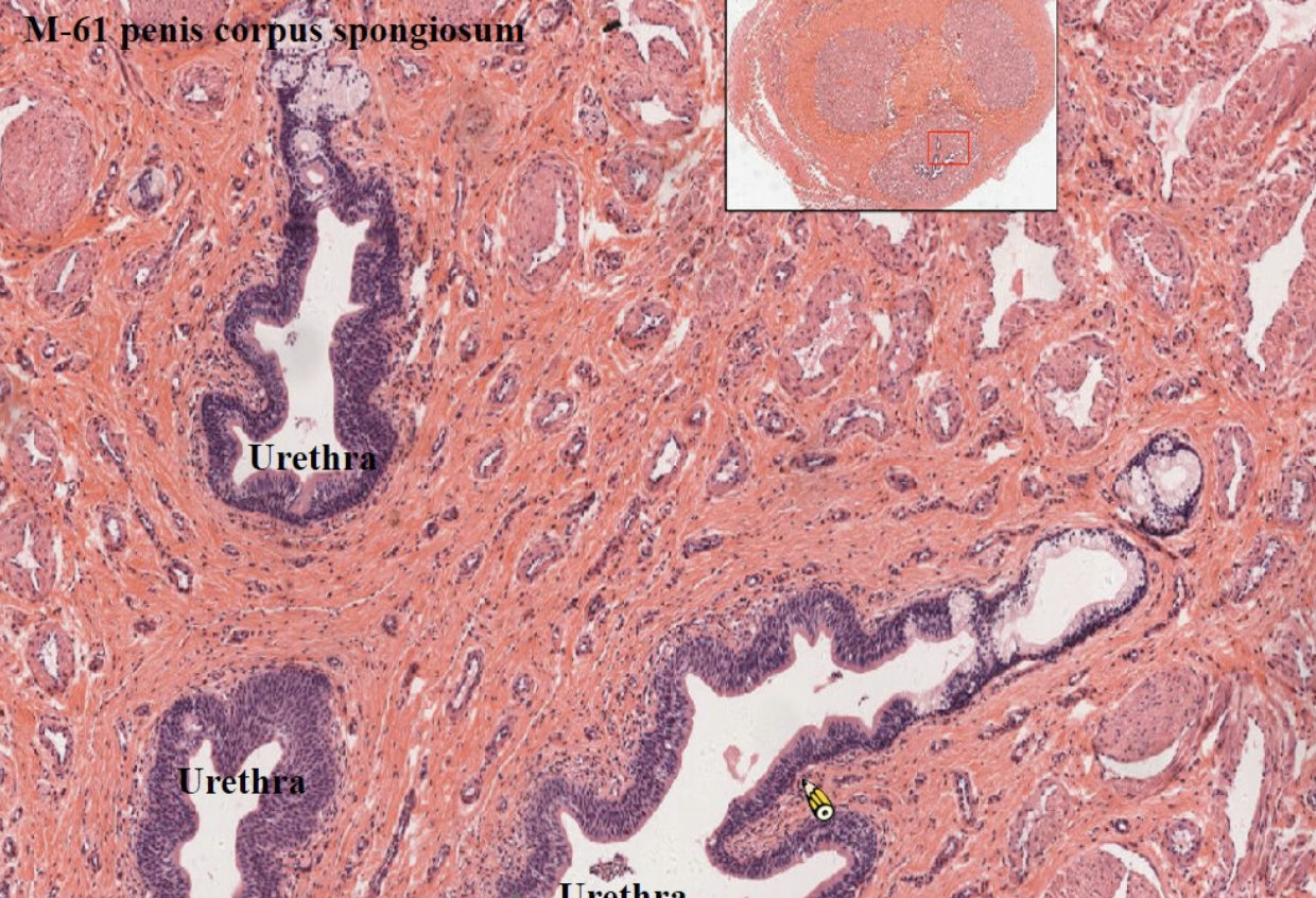
Urethra

內而外

  1. Transitional epi.
  2. Stratified/ Pseudostratified columnar epi.
  3. Stratified squamous epi.

Intraepithelial gland

S:sinus
M:mucosa (Intraepithelial gland )

Littre gland

生殖系統

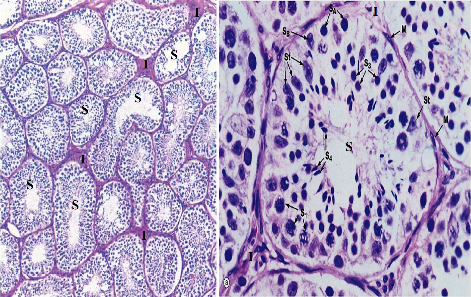
Testes


Seminiferous tubules

Sertoli cell (St)

Spermatogenic cell

細胞質會一直黏在一起

Interstitium

Leydig cell

Intratesticular Ductus

Rectus tubule \rightarrow Rete testis

Efferent Ductule

Epididymis

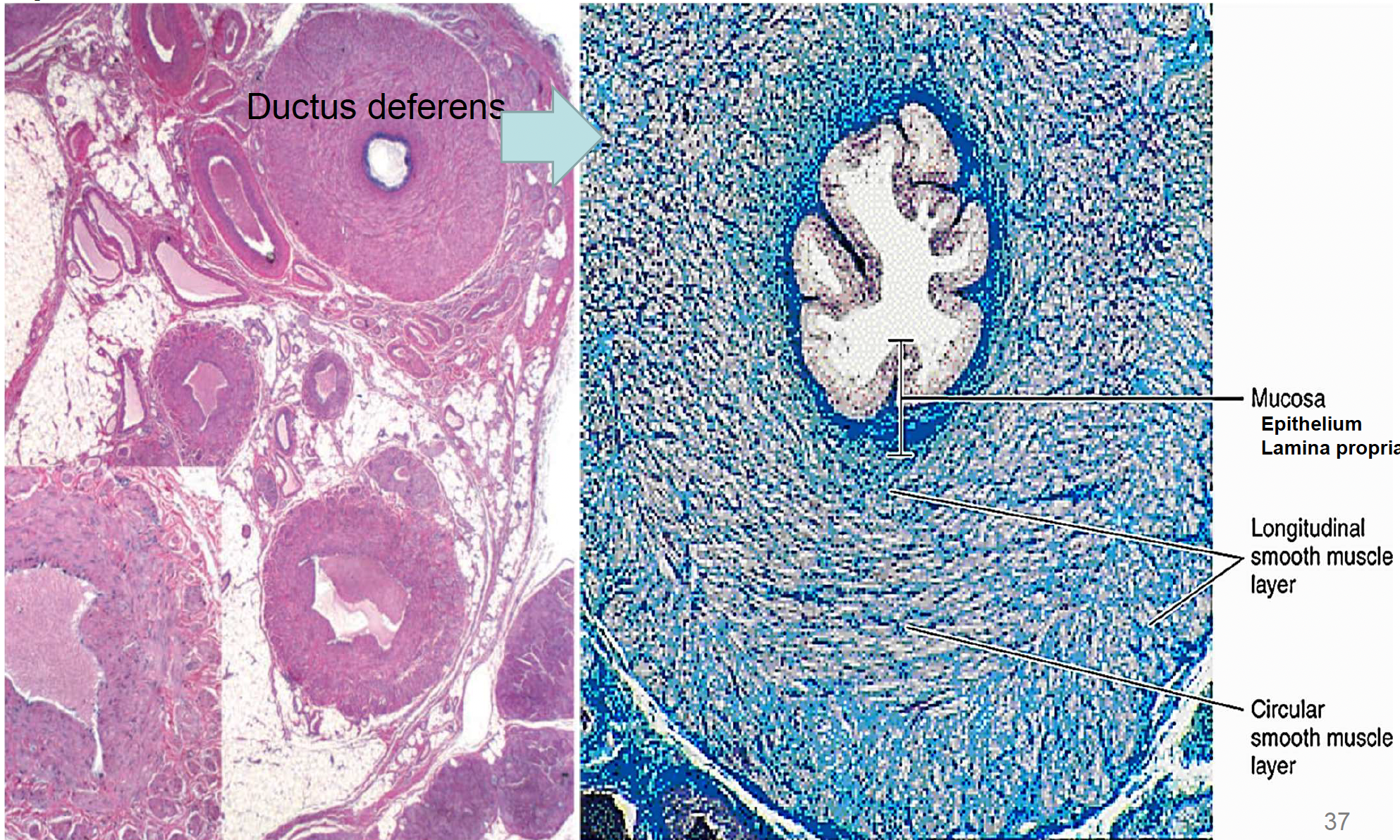
Duct deferens

Ampulla of Ductus Deferens

Ejaculatory Duct (ED)

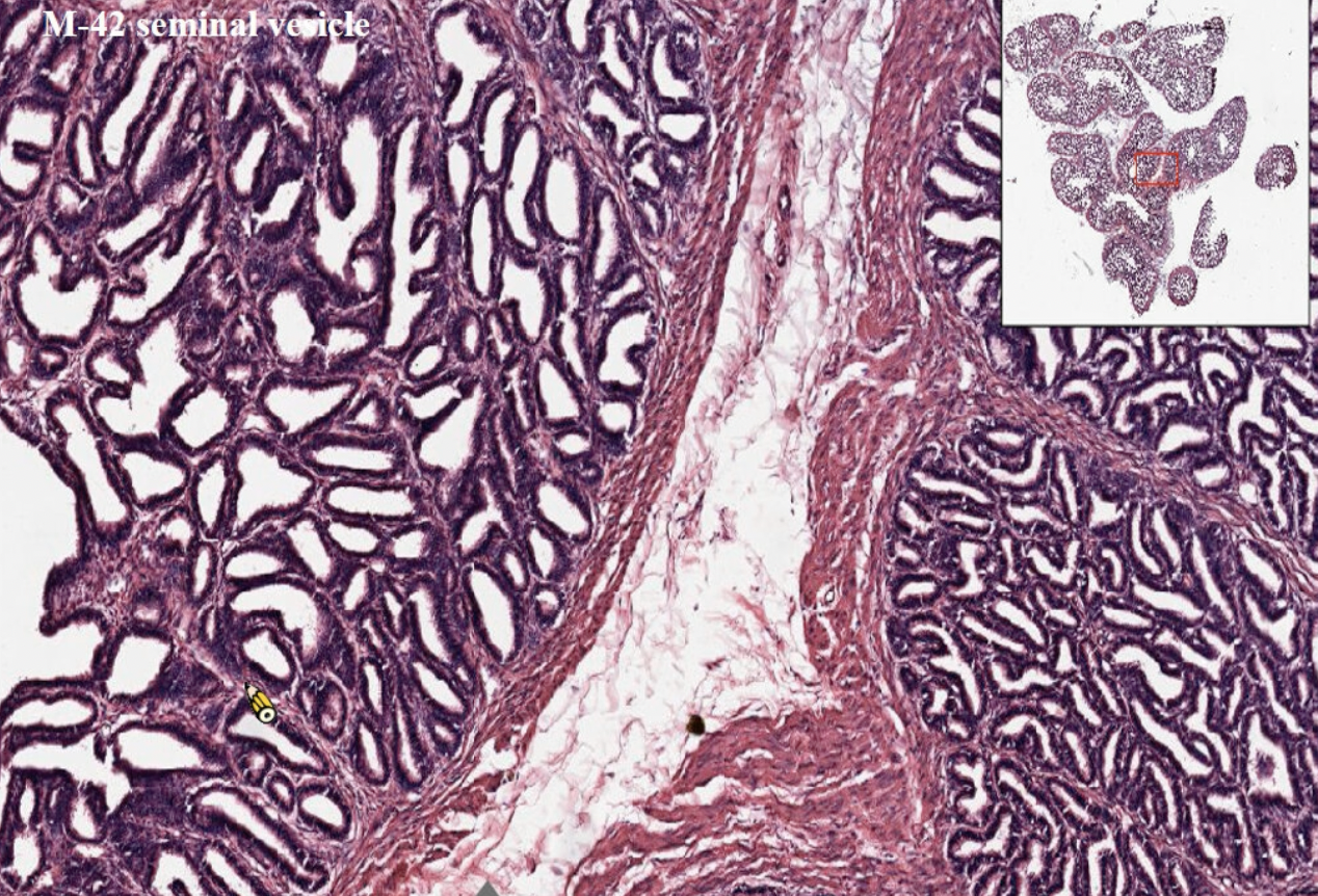
Seminal Vesicle

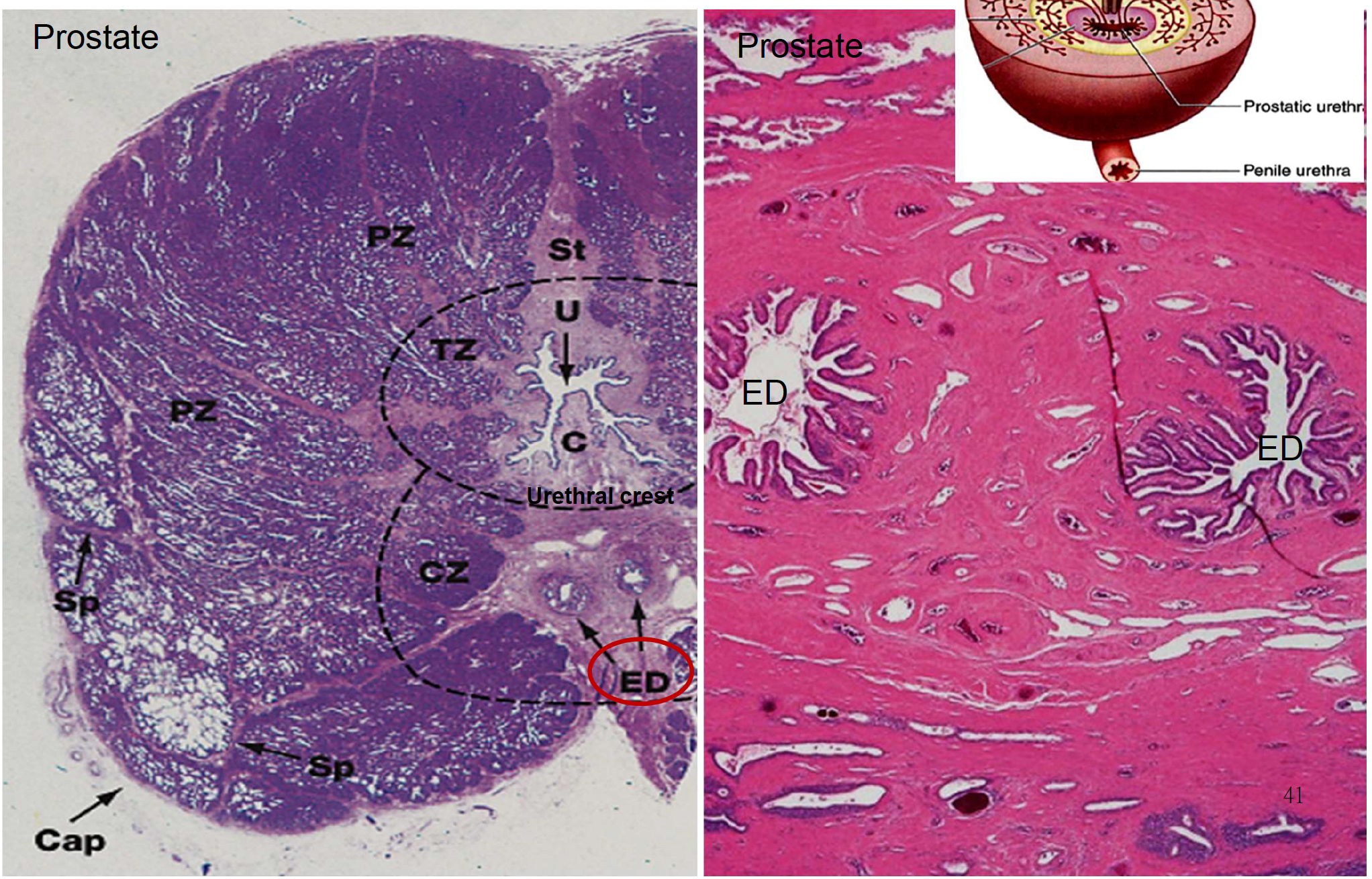
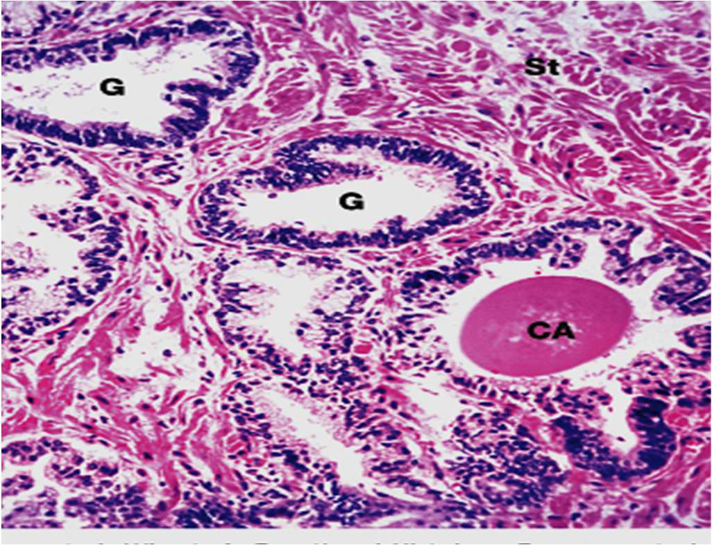
Prostate Gland


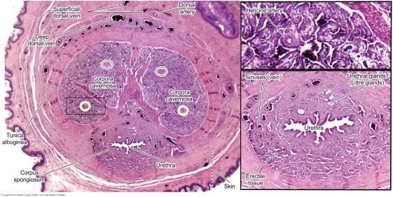
Penis

Sperm

Lab

考試要寫分層











女性生殖系統

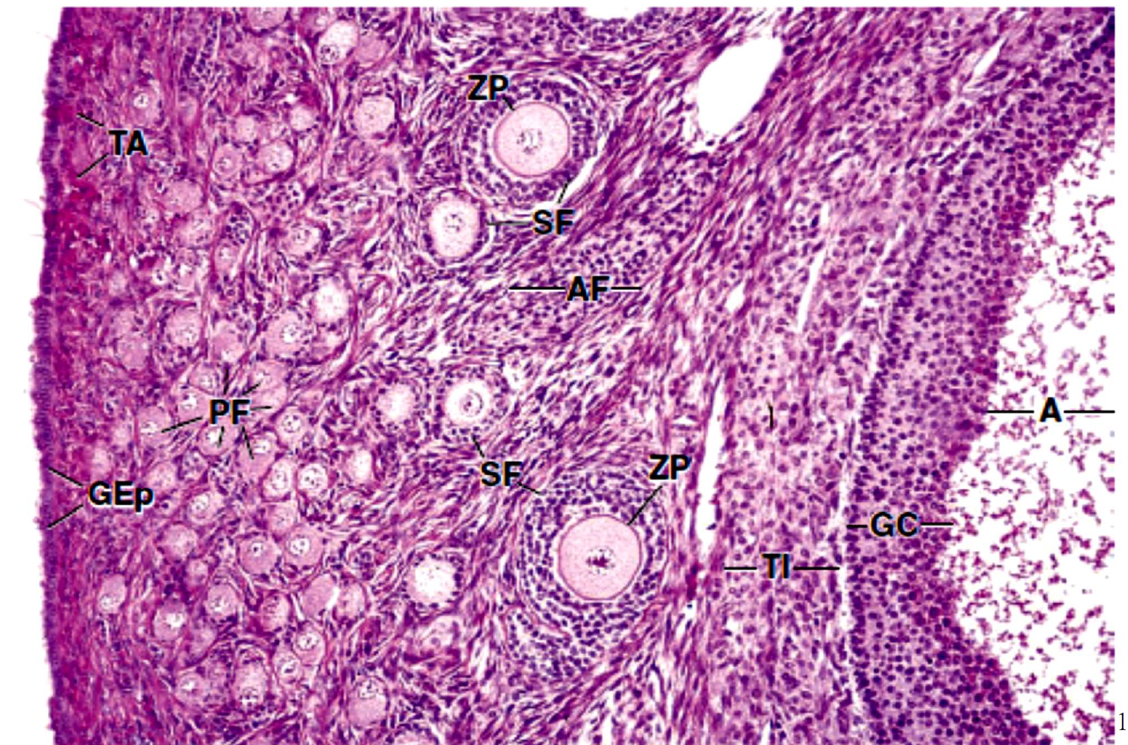
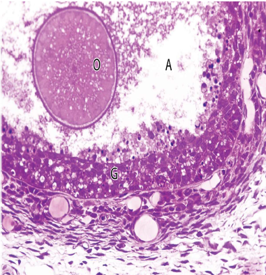
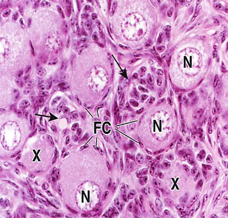
Ovary

不成熟者靠外圍,較小

Ovarian follicles

Primordial

Primary follicle

Secondary (Aantral) follicle

Mature (Graafian) follicle

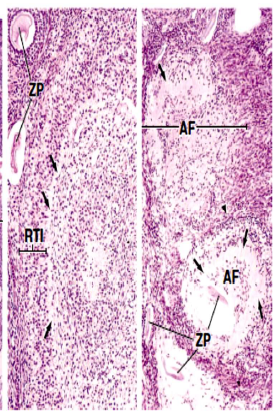
Atretic follicle (AF)

壞掉的

Corpus luteum

Corpus albicans

分裂

lab




Atretic follicle

Corpus luteum



Uterine tube

Uterus