免疫

alt text
MMPs
Matrix MetalloProteinases 造成結締組織的破壞

necrotizing ulcerative gingivitis" (NUG) 和 “necrotizing
ulcerative periodontitis” (NUP) 是同一個病不同進程,都是牙周組織對細菌感染的系統性抵抗力下降。兩者差異在 NUP 影響Attachment tissue

進展

時期

Initial lesion Early lesion Established lesion Advanced lesion
day 2-4 4-7
菌種 G(+) G(+), G(-)
主導免疫球 PNMs PNMs & plasma cell plasma cell
collagen 破壞
rete pegs
pocket epi
bone loss
apical epithelial migration
其他 Normal healthy gingiva Early gingivitis Established gingivitis 初級牙周病
.alt text alt text

Stages

疾病嚴重程度與複雜性

分期 CAL Bone loss Frucation 牙齒喪失
Stage 1 1~2mm Coronal third - 0
Stage 2 3~4mm
Stage 3 ≥5mm middle ≥ 3mm II, III ≤ 4
Stage 4 ≥5mm ≥ 5

Grading

進展速度和風險因素
alt text

Frucation

Hamp 分類法 (1975)

Hamp 分級 戳入深度
Degree I < 3mm
Degree II >3mm ,不穿
Degree III 穿透

Mobility

Miller index

Miller index 定義
Grade 1 存在異常移動
Grade 2 存在某方向移動等於 1mm
Grade 3 多個方向移動大於 1mm , 包含旋轉、垂直

預後

alt text

治療計畫

alt text alt text alt text alt text

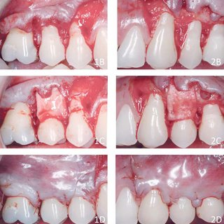
牙根覆蓋術式

Miller’s classification

alt text
alt text

Langer & Langer technique

alt text alt text

Modified

Bruno technique

alt text

Hurzeler technique/Lorenzana & Allen technique (one/single excision)

alt text

Laser De-epithelialized technique

alt text

Split double papilla flap + CT graft (Harris, 1992)

alt text

Envelope flap + CT graft (Raetzke, 1985)

alt text

Modified

alt text

Zuchelli & Sanctis (2000)

alt text

Tunneling (Allen, 1994)

alt text

牙周再生手術

alt text