齒源性腫瘤 Odontogenic Tumor

  1. 上皮性來源(tumors of odontogenic epithelium)
    1. Ameloblastoma (2nd)
    2. Clear cell odontogenic carcinoma
    3. Adenomatoid odontogenic tumor (4th)
    4. Calcifying odontogenic tumor
    5. Squamous odontogenic tumor
  2. 混和性來源(mixed odontogenic tumors)來自上皮+外胚層間葉
    1. Ameloblastic fibroma
    2. Ameloblastic fibro-odontoma
    3. Ameloblastic fibrosarcoma
    4. Odontoma (1st)
    5. Primordial odontogenic tumor
  3. 外胚層間葉來源(tumors of odontogenic ectomesenchyme)
    1. Odontogenic fibroma
    2. Granular cell odontogenic tumor
    3. Odontogenic myxoma (3^rd)
    4. Cementoblastoma

上皮性來源

原因 位置 年齡 特徵
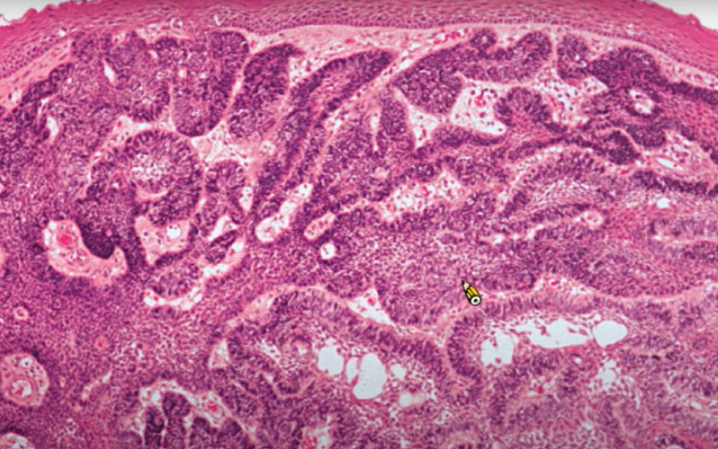
Ameloblastoma 多囊腫型 (coventional solid or multicystic intraosseous)
  • 牙齒發育過程上皮(典型良性)在錯的位置
  • BRAF mutation
  • DC 變過來 (unicystic)
下顎 (80-85%) -
  • 最常見(80%),長得慢,通常會到了腫瘤很大時才來就診。
  • 頰舌擴張
  • 牙根吸收
  • 局部侵犯,少轉移,預後好

follicular Pattern

  • 最常見
alt text

plexiform pattern

  • stellate reticulum 擠扁
alt text

basal cell pattern

  • 最少
stellate reticulum 不明顯 alt text

acanthomatous pattern

alt text

granular cell pattern

  • 最常見
alt text
前牙

desmoplastic pattern

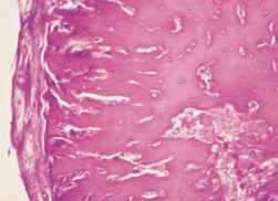
  • fibrous stroma → TGF-β → collagen fiber → 大量膠原蛋白基質(dense collagenized stroma)堆積 → radiopaque, odontogenic epithelium 呈現小島狀(small islands)或是索狀(cord)
  • 無鈣化,但 RO
alt text
單一囊腫型(unicystic) 下顎後 ~23y
  • 預後較多囊好
  • 常圍繞未萌發的牙齒,特別是第三大臼齒
alt text
luminal ameloblastoma alt text
intraluminal ameloblastoma
多為 plexiform type
alt text
mural ameloblastoma alt text
骨外囊腫型(peripheral/ extraosseous) 下顎後、軟組織 52y plexiform 或是 follicular pattern alt text
局部切除, 15-20% 復發
Ameloblastic Carcinoma - 下顎後側 50-60y 放射線
不規則,邊界不清楚。
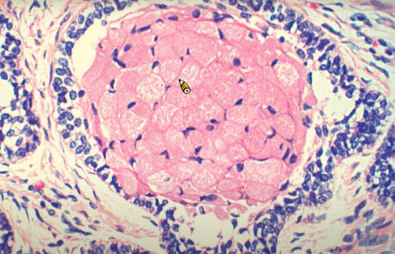
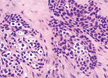
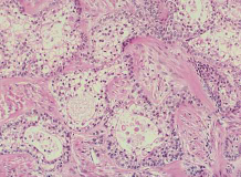
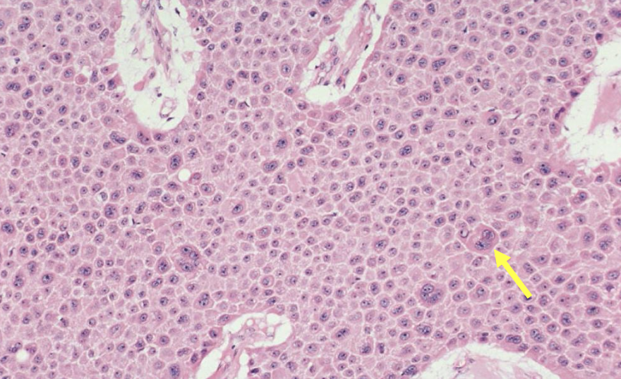
Calcifying epithelial odontogenic tumor (CEOT) - 下顎 30-50y
  • 類似 Ameloblastoma,可能單多囊
  • 鈣化,長得慢,低侵略,邊界清楚
  • 阻生齒
  • 復發率約 15%
alt text
  • intercellular bridge
  • 嗜酸 amyloid-like substance (ODAM) → Congo red
  • 多核細胞(→)
alt text alt text
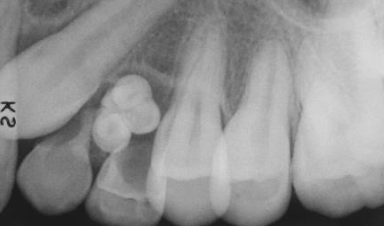
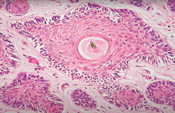
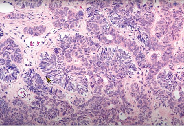
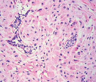
Adenomatoid odontogenic tumor (AOT) - 上顎、前牙、犬齒、頰側 10-19y Tumor of two-third
  1. 10~19y
  2. Female
  3. 上顎、前牙、犬齒
  4. 未萌發牙冠
無痛小病灶(φ<3cm),變大時骨膨脹
radiolucency 跨過 CEJ,可能有鈣化 alt text
  • fibrous capsule 厚 → 切得乾淨
  • Ductlike、上皮螺旋(whorled mass)、玫瑰(rosettelike)團塊
  • 2/3 鈣化, 內部 fiber 少
  • 靠近 Capsule 有 Anastomosing cords 上皮
alt text
Squamous odontogenic tumor 錯位 上顎前,下顎後 -
  • 可能造成牙根鬆動,一般無症狀
  • "正常"鱗狀上皮小島被Fiber包圍
  • 上皮小島內可能會出現一些 microcyst
alt text
Clear cell odontogenic carcinoma biphasic 一堆 Clear cell, 一堆 Glycogen - -
  • Clear cell
  • 嗜酸多邊形上皮 (eosinophilic polygonal epithelial cells)
alt text
monophasic - - -
  • 只有 Clear cell
  • 均質 hyalinized CT
alt text
ameloblastoma-like - - -
  • 最外圈 Clear cell 反極
alt text

混和性來源

原因 位置 年齡 特徵
Ameloblastic fibroma - 下顎臼齒區 20y ↓
  • 通常無症狀
  • 阻生齒(75%)
  • fiber 多 → 邊界清楚
  • odontogenic epithelium 排列成兩層細胞 long, narrow cords
  • Ameloblast 包未成熟 fibroblast,小顆無 cyst
  • CT 充滿缺乏分化 fibroblast
alt text alt text
Ameloblastic fibrosarcoma Ameloblastic fibroma 惡化 下顎(80%) 27.5y (1.5:1)
  • 侵犯快,會痛
  • 骨頭破壞 → 牙齒鬆動
  • 向外侵犯 → 粘膜潰養
  • 只有 CT 惡性
Odontoma compound 最常見 上顎前牙 20y ↓
  • 構造順序排列
alt text alt text
complex 後牙
  • dentin 和 enamel matrix 混在一起
  • 有時可見嗜酸 Ghost cell
alt text alt text
Ameloblastic fibro-odontoma Ameloblastic fibroma + Odontoma 下顎後 10y
  • 多為單房,分界明顯
alt text
Primordial Odontogenic Tumor - 下顎後牙(3^rd 大臼齒, 乳臼齒) 10y-20y
  • 良性,分界好,堅硬,無痛
  • 包住牙冠
alt text

外胚層間葉來源

原因 位置 年齡 特徵
Odontogenic fibroma central type (骨內) - 上顎為第一大臼齒以前、下顎為第一大臼齒以後 未萌發的牙齒(5%)
  • 多房: 大,骨頭膨大
  • 單房: 小
  • 擠牙根,齒動搖
alt text
Simple, WHO alt text
peripheral type (軟組織) - 下顎牙齦 facial 10-40y 又稱 Odontogenic epithelial harmatoma, Peripheral fibroameloblastic dentinoma
  • 無痛
  • 緻密的 collagen
  • 厚的 epithelium
  • WHO type 類似
  • 某些區域類似 giant cell granuloma
alt text alt text
Granular Cell Odontogenic tumor - - -
  • 富含 Lysosome → 嗜酸
  • Narror cords, island Odontogenic 上皮
alt text
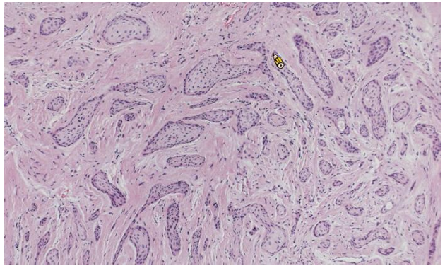
Odontogenic myxoma
齒源性黏液瘤
- 顎骨(下顎稍高) 25-30y
  • 無痛腫脹,生長慢
  • 難切乾淨,復發率高(25%)
    • 推開牙根,牙根吸收
  • 單或多房,多房分成 soap bubble, stepladder
  • IHC: Actin 不太表現
alt text alt text
間質淡粉紅色,看不太到 collagen fiber
Cementoblastoma cementoblast 狂做 下顎(75%),後牙(90%),下顎第一大臼齒(50%) <20y (50%)
  • 不受控生長,但不能不同牙齒黏一起
  • 阻生齒、未萌發
  • 2/3 腫痛
  • Pulp 存活
  • 高復發
alt text
  • 有 Capsule,cementum 高柱狀
  • 多核巨細胞
    • cementoclast, odontoclast
  • 小空腔: cementocyte
  • reversal line
alt text alt text

齒源性腫瘤、Cyst 整理

男性較多 女性較多
OOC
odontogenic carcinoma
NDC
EC
Stafne Defect
Simple Bone Cyst 長骨型
Nasolabial Cyst
Gardner syndrome
Pilar cysts
必定伴隨阻生牙 可能伴隨阻生牙 一定不伴隨阻生牙
  • DC
  • OKC(40%)
  • OOC (66%)
  • COC(33%機率)
  • 單房 Ameloblastoma
  • AOT (66%)
  • CEOT
  • Ameloblastic fibroma (75%)
  • LPC
牙根吸收 牙根不太吸收
  • DC
  • RC
  • OKC
  • LPC
  • Ewing Sarcoma
  • Fibrosacroma
  • Langerhans Cell Histiocytosis(LCH)
  • GOC
  • Ameloblastoma 多房型
  • Ameloblastic Carcinoma
  • Squamous odontogenic tumor
  • Odontogenic fibroma
  • Odontogenic myxoma
正角化上皮 不完全角化上皮 非角化上皮
  • OOC
  • EC
  • Dermoid cyst
  • OKC
  • Oral Lymphoepithelial Cyst
  • DC
  • LPC
  • GOC
單房 Unilocular 多房 Multilocular
OOC
COC
Simple Bone Cyst
GOC
Ameloblastoma