皮膚疾病

外胚層發育不良

Ectodermal Dysplasia
兩個以上外胚層來源的構造無
alt text

角化異常

Disorder of Keratinization

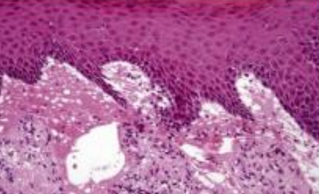
角質

5、14: 複層口腔上皮都有

1、6、10、16: 角化

4、13、19: 非角化

名稱 成因 GLA 特徵
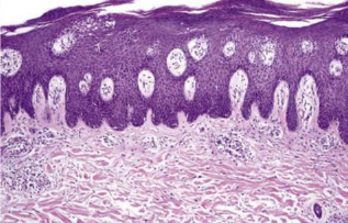
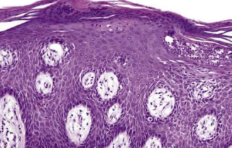
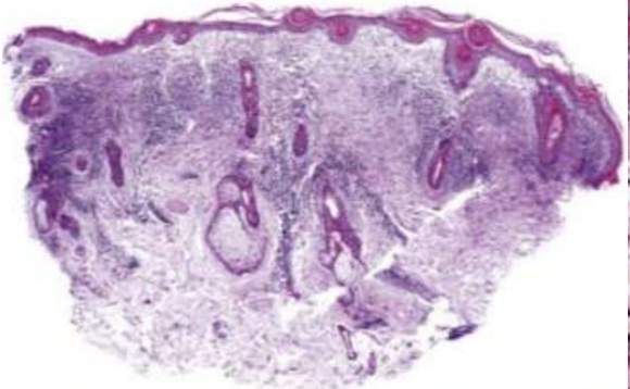
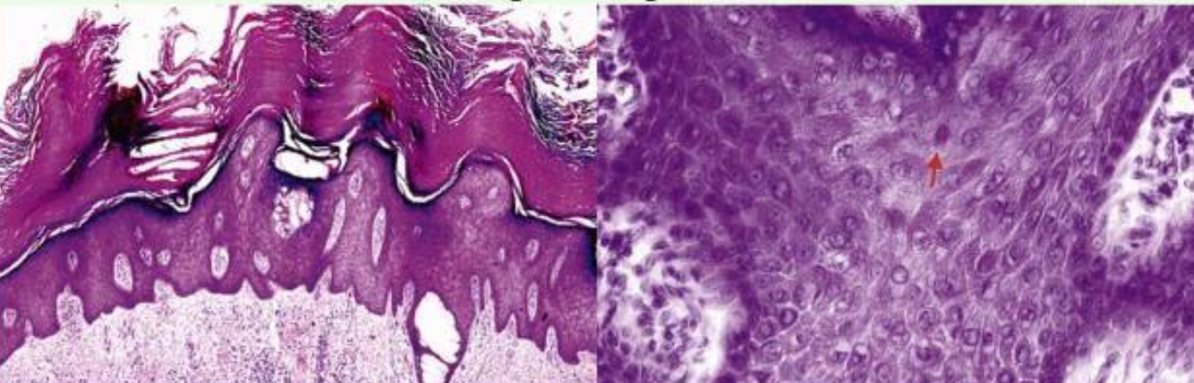
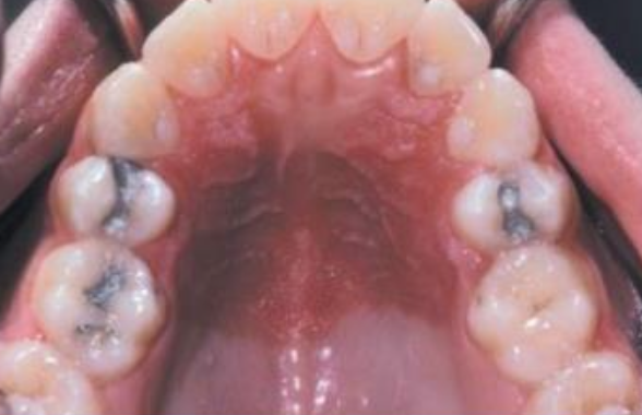
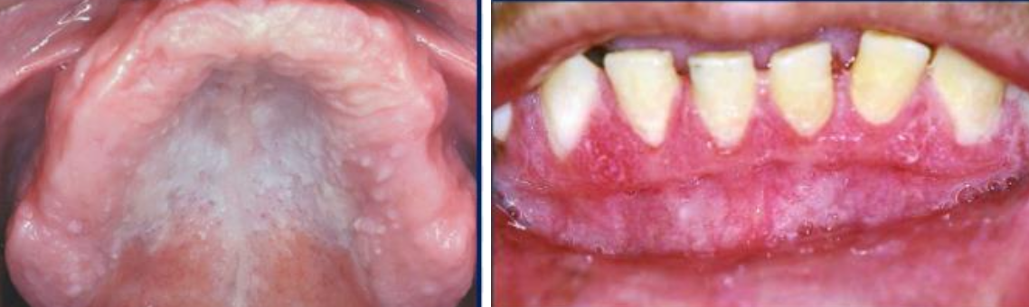
White Sponge Nevus
(Cannon disease)
體顯性 兩側的頰黏膜,出生時、孩童早期
  • 口腔黏膜的正常角質化缺陷
  • 對稱
  • keratin 4 和 keratin 13 表現在上皮的棘狀上皮細胞層
  • hyperparakeratosis, acanthosis
  • spinous layer 清澈的細胞質
  • 表層細胞核周圍嗜酸
alt text
Hereditary Benign Intraepithelial Dyskeratosis
(HBID, Witkop’s disease)
體顯性
GENE: 4q35端粒, NLRP1, M77T
口腔與結膜黏膜,孩童
  • 類似Cannon disease
  • 眼睛: 不透明凝膠狀斑塊
  • 舌背: 通常沒有影響
- alt text
  • hyperparakeratosis, acanthosis
  • upper spinous layer 局部角化
  • ell-within-a- cell
alt text
Dyskeratosis Congenita
先天性角化不良
X隱性
GENE: DKC1
10y ↓
  • 影響 telomerase
  • 再生性貧血(aplastic anemia)
  • 易有惡性變化
  • 皮膚網狀的色素過度沉澱
  • 指甲會有明顯的萎縮,甚至消失
  • 沒得醫
alt text
  • 水泡(bullae) → 白斑 → OPMD
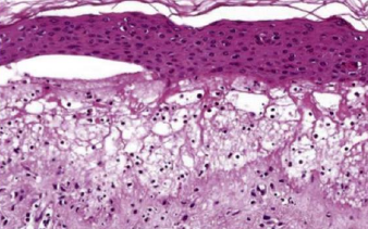
Hereditary Mucoepithelial Dysplasia 體顯性 -
  • 少毛脫髮、畏光、視力明顯受損
  • 軟硬顎交界明顯火紅班
  • 表徵明顯,但通常沒有症狀(asymptomatic)
  • minimal keratinization
  • 雜亂無章的成熟
  • 無明顯的核、細胞多形性
alt text alt text

過度角化

名稱 成因 GLA 特徵
Pachyonychia Congenita 先天性厚甲症 體顯性 -
  • keratin 6a, 6b, 16, 17
  • 手掌跟腳掌厚繭、指甲底部累積角蛋白
  • 多汗
  • 走路會有明顯的疼痛
alt text alt text
  • 口內 GENE: keratin 6a (KRT6a)
  • 如果: Keratin 17 → neonatal teeth, oral white lesion(1/3)
  • hyperkeratosis, acanthosis
  • 斑狀顆粒增生(patchy hypergranulosis)
  • 毛囊病變,堵塞
  • white spongy nevus 比較: 表皮細胞核旁清澈的
alt text
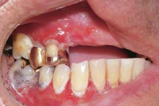
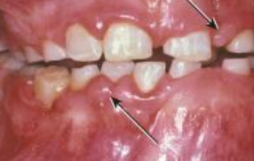
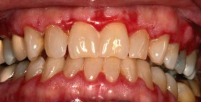
Papillon-Lefèvre Syndrome GENE: cathepsin C gene 手掌與腳底
  • Cathepsin C: 溶酶體內蛋白酶
  • 手掌與腳底的角質化
  • 皮膚病灶的治療:維 A 酸類(systemic retinoids)
  • PMN 功能不足 → 嚴重牙周病
  • 快速的骨流失 → floating in air
  • 瀰漫出血與增生性牙齦炎
alt text

色素相關

名稱 成因 GLA 特徵
Xeroderma Pigmentosum
著色性乾皮病
體隱性,UV損傷修復不能 下唇和舌尖(SCC 多),
很早
(口腔: 20y↓ ; 非黑色素皮膚癌: 10y↓)
  • 容易轉成 SCC, BCC
  • 沒得醫
Peutz-Jeghers syndrome 體顯性,
抑癌 GENE: STK11(LKB1)
兒童早期
  • 雀斑樣(freckle-like): 陽光無關,發生於手部、開口周圍
  • 朱紅區、口腔黏膜、舌頭出現 φ 1~4mm 的棕色至藍灰色斑點
  • 腸息肉(intestinal polyps,良) → 腸梗塞 → 大比例發展成胃腸道腺癌
  • 60y女性,乳癌的機率高達 50%
  • 黑色素細胞無明顯增加,但樹突延長
alt text alt text alt text
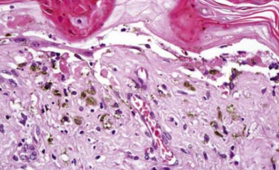
Incontinentia Pigmenti
(色素失調病,Bloch-Sulzberger syndrome )
X顯性
GENE: NEMO (NFκB Essential Modulator)
剛出生
  • 先天免疫 gg
  • CNS (30%)
  • 眼睛 (35%): 斜視(strabismus)、眼球震顫(nystagmus)、白內障(cataracts)、視網膜血管異常、視神經萎縮
  • 皮膚: 水皰期 → 疣狀期 → 色素過度沉積階段 → 萎縮和脫色階段
  • 口腔: 同 EDA mutation

水皰期

上皮內裂解,內部充滿嗜酸性球

疣狀期

過度角化, acanthosis, papillomatosis

色素過度沉積階段

皮下結締組織 melanin-containing macrophage,即黑色素失調(melanin incontinence) alt text

Hair Follicle & Sebaceous glands

名稱 成因 GLA 特徵
Cowden Syndrome
(多發性缺陷瘤症候群,Multiple hamartoma syndrome)
GENE: PTEN (腫瘤抑制,20% 測不到)
  • 良性錯構瘤,惡性機率 ↑
  • 皮膚
    • 小丘疹(<1mm): 耳口鼻毛囊錯構瘤
    • 肢端角化症(acral keratosis)、掌趾角化病(palmoplantar keratosis)
  • Thyroid gland: 甲狀腺腫(goiter)、thyroid adenoma
  • 乳房纖維囊, 乳腺癌risk ↑
  • 消化道錯構息肉
  • 多發性口腔丘疹: 牙齦、舌背和頰黏膜上皮纖維增生
alt text alt text
Muir-Torre Syndrome DNA mismatch repair 異常, GENE: MSH2(90%), MLH1 50-60y, AIDS
  • 多發性皮膚腫瘤 + 胃腸道惡性腫瘤
  • 皮脂腺瘤(Sebaceous adenoma)
alt text
  • 皮脂腺囊腫病變(cystic sebaceous lesions): 缺乏表皮連結
  • 角化棘皮瘤樣結構的皮脂腺腫瘤(sebaceous tumors with keratoacanthoma-like architecture)
alt text alt text

上皮裂解

Acantholytic Disorder

名稱 成因 GLA 特徵
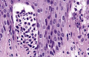
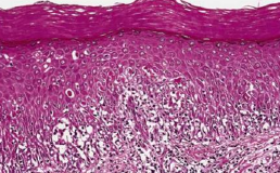
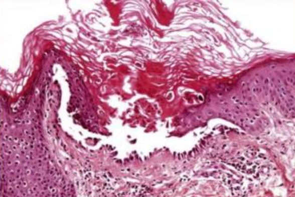
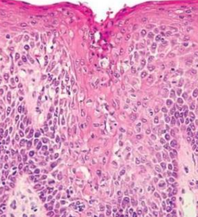
Keratosis follicularis (Darier Disease) 體顯性, ATP2A2 mutation → 細胞內鈣離子幫浦(SERCA2) 異常 → desmosome 異常 10-20y
  • 皮膚明顯症狀,口腔輕微
  • 多發性紅斑
  • keratin 堆積 → 惡臭
  • 指甲出現縱向線條、隆起、疼痛的裂口。
  • 口腔: 角化黏膜,平頂丘疹(flat topped papules)
alt text alt text alt text
alt text
  • 上皮內裂 (acantholysis)
  • Rete ridges 窄長,且呈試管狀。
  • 角化不良細胞: corps ronds & grains(類似於穀粒)
  • central keratin plug : keratin 堆積
alt text alt text
Warty Dyskeratoma
(疣狀角化不良,
Isolated Darier disease)
-
  • 皮膚: 單發,老人
  • 口腔: 角化黏膜,40y↑
  • 保守性切除,預後良好,沒有明顯的惡性潛能
  • 組織病理類似 Darier disease,除了無 corps ronds, grains 型態
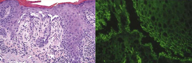
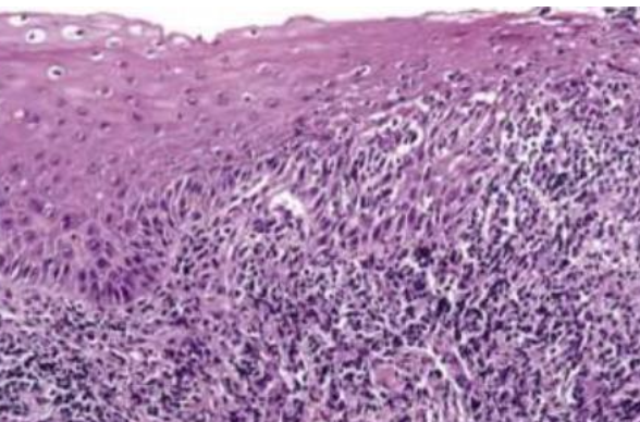
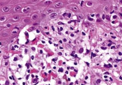
Pemphigus
天疱瘡
自體免疫疾病
vulgaris (PV,常見) Ab 打 Desmosomes 50y
  • 不結疤,眼球不沾黏
  • 口腔病變 first come, last go
  • Desmoglein 3: 口內
  • Desmoglein 1: 皮膚表層
  • 大水泡,薄水泡,破水泡
  • Nikolsky sign
  • row of tombstones: 只剩 Basal cell 像 Cleft 突出去
  • acantholysis → Tzanck cell (飄落在Celft 中)
  • 上皮細胞之間沉積抗體(IgG, IgM)和補體(C3)
    • 濃度與臨床症狀嚴重度相關
alt text
Paraneoplastic Pemphigus (PP)
腫瘤誘導性天疱瘡
  • Lymphoma, Chronic lymphocytic leukemia, Castleman disease 患者
  • 異常 IL6 → TFH → IL-21 → Plasma cell
  • Ab 打 Plakin family Desmoglein 1, 3
  • 天疱瘡症狀
  • 突發、多發水泡
  • 高致死
  • 會出現在手掌腳掌
  • 嘴唇出血性結痂
  • 紅斑(erythema), 瀰漫性不規則潰瘍(diffuse, irregular ulceration)
  • 阻塞性細支氣管炎(bronchiolitis o bliterans)
alt text alt text alt text
  • Dermis 慢性發炎浸潤
  • 上皮內、下都裂
alt text
Nikolsky sign
水泡邊緣摸一摸,給一個側方力量,水泡會越來越大

皮下裂解

Subepidermal Blistering Disease

泡泡龍寶寶

名稱 成因 GLA 特徵
Epidermolysis Bullosa
(大泡性表皮鬆解,泡泡龍寶寶)
細胞附著蛋白異常 → 異質性遺傳性皮黏膜水皰病變
Simplex keratin 5, 14 上皮內裂,輕微
Junctional
  • laminin-332
  • BP180
  • α6β4
  • hemidesmosome 異常,上皮下裂
  • 無 laminin-332: 牙齒與上皮交界異常
  • IEE 刺激 Dental papilla 出問題 → odontoblast, ameloblast 分化 ↓
Dystrophic type collagen 7

Dominant (體顯性)

  • 輕微,通常不危及生命,但是會造成毀容

Generalized Recessive (全身隱性)

  • 病發 10~20 年後,皮膚反覆癒合 → 手套畸形(mittenlike deformity)
  • 小口症(microstomia)、舌沾黏(ankyloglossia)
  • cutaneous SCC risk ↑
Kindler syndrome hemidesmosomal attachment protein,
kindlin-1
基底細胞層下方與透明層的界面處裂解 alt text
Epidermolysis bullosa acquisita (EBA)
  • 後天,自體免疫
  • collagen 7
手背
  • 類似 Dystrophic type,結疤
  • 粟粒疹(Milia)
  • 口腔病灶 (50%)
alt text alt text
  • 是溫和、無細胞上皮下囊泡
    • 無明顯發炎細胞浸潤
  • 切片泡飽和鹽水 → 上皮裂 → 人工水泡
  • IgG 在 CT 頂
alt text
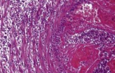
Angina Bullosa Hemorrhagica 創傷、類固醇相關 軟顎,中年
  • 不會產生疤痕
  • 滿血液的表皮下水泡
alt text

類天皰瘡

名稱 成因 GLA 特徵
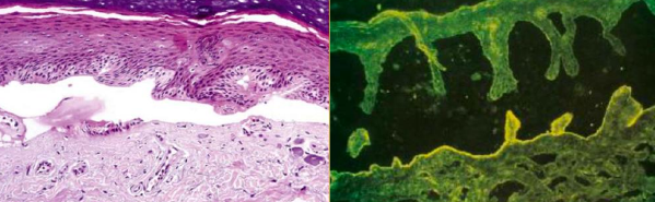
Mucous Membrane Pemphigoid
(黏膜類天皰瘡,
Cicatricial pemphigoid,瘢痕性類天皰瘡)
  • 後天
  • 自體免疫: α6, laminin-332
50-60y,口腔, 各式黏膜
  • 慢性,很少自限性 (會越來越嚴重)
  • 口內堅固 vesicles/ bullae,α6 型只有口內病灶
  • 皮膚結疤,但口內不會 → 無小口症
  • 脫屑性牙齦炎(desquamative gingivitis)
  • 眼球沾黏
  • 陰道黏膜損傷 → 性交疼痛(dyspareunia)
alt text alt text
  • 上皮和CT完全分開,之間有 Neutrophil
  • IgG, C3 (主); IgA, IgM
    • 抽血 Ag 測不太到
alt text
Bullous Pemphigoid (BP)
大皰性類天疱瘡
  • 後天
  • 自體免疫: BP180, BP230 (basement membrane)
75-80y
  • 最常見自體免疫性水皰病,緩解期後復發 (時好時壞)
  • 皮膚無疤
  • 瘙癢(pruritus) → 多發性硬痂大皰 (tense bullae)
  • 上皮和CT完全分開,之間有 eosinophil
  • 口內少見 (10-20%)
  • 抽血 Ag (+),但抗體濃度與疾病活動不相關
alt text
Linear IgA Bullous Disease (LAD)
線狀 IgA 大皰性皮膚病
  • 後天
  • 自體免疫
  • 後天
  • BP180 (細胞外結構 LAD1)
青少年, 老人
  • 皮膚: string of beads sign (新病灶圍著舊的)
  • 口腔: 糜爛、水皰和慢性潰瘍
  • 一點結疤
  • basement membrane IgA 線性沉積
  • Lamina propia 有 Neutrophil 浸潤
alt text alt text alt text
Dermatitis Herpetiformis (DH)
疱疹性皮膚炎
  • 後天
  • IgA 結合 trans-glu-ase
  • GENE: HLA-DQ2 (90%),
    HLA-DQ8 (other)
青壯年和中年人
  • 麩質敏感性腸病、乳糜瀉皮膚表現
  • 時好時壞,如 BP
  • 皮膚: 極度瘙癢,對稱
  • 口腔病變不常見
  • Dermis papilla 有 Neutrophil → 輪廓的消失, nuclear dust
  • Dermis papilla顆粒狀 IgA, C3 沉積物
  • CT 發炎細胞浸潤
alt text alt text alt text

hemidesmosome

epiligrin = laminin-5 = laminin-332
type XVII collagen = BP180
type VII collagen = BP290

alt text alt text

苔蘚樣皮膚炎

Lichenoid and Interface Dermatitis

名稱 成因 GLA 特徵
Lichen Planus (LP)
扁平苔癬
壓力、甲狀腺低落? 中年,口腔黏膜單發
  • 慢性,相對常見
  • 皮膚: 蕾絲狀白線網格(Wickham striae)丘疹
無症狀

網狀型 (Reticular form )

  • 最常見
  • 可能 post-inflammatory melanosis
    • IL-1 刺激 melanocytes 分泌 melanin
  • 交錯白線圖案 (Wickham striae)

丘疹型 (Papular type)

  • 小且密的過度角化丘疹

斑塊型 (Plaque type)

  • 舌背有白斑
  • buccal mucosa 有 Wickham striae
alt text alt text
有症狀

Erosive

  • lesion 疼痛灼熱
  • 萎縮性紅斑
  • 萎縮和潰爛局限於牙齦 → 脫屑性牙齦炎(desquamative gingivitis)
alt text

Bullous form

  • 上皮分離 → 大皰性扁平苔蘚(bullous lichen planus)

Ulcerative form

  • 深層侵犯
  • 淺灰色/黃色纖維蛋白偽膜覆蓋在黏膜(潰瘍)
  • 正角化和角化不全
  • 只能 lymphocytes 浸潤 (狹義)
  • 上皮和結締組織交界
    • bandlike T cell
    • Civatte body: 均質,退化的 keratinocyte
  • basal cell hydropic degeneration
    • saw-toothed Rete ridge
alt text alt text
Lichenoid Contact Reaction amalgam (半抗原) LP,但只出現在有 amalgam 的位置、移除 amalgam 即消失。
Lichenoid Drug Reaction 藥物 非直接性 IgG 螢光染色 → string of pearls (沿著複層鱗狀上皮的 basal cell layer 細胞膜) alt text
Chronic Ulcerative Stomatitis (CUS)
慢性潰瘍性口炎
自體免疫: p63 的異構體 60y
  • LP區分
    • 類固醇無效, 奎寧治療
    • 條狀角化不明顯
    • 皮膚病變少
  • 脫屑性牙齦炎
  • 時好時壞,口腔黏膜遊走且不留疤
  • 慢性 → plasma cells + lymphocytes
  • IgG 在 S.S.epi. 的 basal and parabasal regions 細胞核中
  • ANAs(+)
alt text alt text alt text
Graft-Versus-Host Disease (GVHD) 骨髓移植 舌頭、唇頰側黏膜
  • 急性或慢性都常出現口內病變
  • 條狀角化,類似 LP
  • 口腔黏膜灼熱感, 萎縮
  • SCC risk
  • Hyperorthokeratosis
  • short and pointed rete ridge
  • basal cell layer 水腫退化
  • 嚴重病例 Collagen 沈積 → 擠壓 acinar → 口乾
alt text
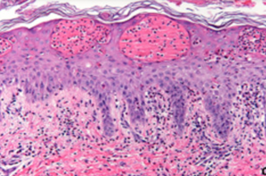
Erythema Multiforme (EM)
多形性紅斑
HSV, 肺炎黴漿菌 (Mycoplasma pneumoniae) 相關 20-30y, 黏膜(口腔)
  • 急性、發作快
  • 自限性(self-limiting): 2-6 周
  • 20%春秋復發 → HSV
  • 同心圓斑環 (target or bull’s-eye,四肢開始)
  • 結膜可能影響
  • 唇朱紅區出血性結痂 (類似 PP)
  • 口腔紅斑 → 大而淺、邊界不規則的潰瘍
alt text alt text alt text alt text
  • 上皮上下都裂
  • 不太會有角化 → 紅斑
  • Basal cell hydropic degeneration 裂開 → 海綿狀囊泡
  • 輕、中度表淺真皮 Lymphocyte 浸潤
  • Satellite cell 壞死
alt text alt text
EM minor 只有皮膚,雙側對稱
  • 四肢末端上有輕微的隆起、圓形的暗紅色斑塊
Stevens-Johnson Syndrome
  • 藥物暴露
  • carbamazepine: HLA-B1502
  • allopurinol: HLA-B5801
年輕
  • 病變面積<10%
  • flu like
  • 扁平紅斑 (軀幹開始) →
  • 皮膚瀰漫性脫落(diffuse sloughing), 鬆弛性大皰 (flaccid bullae)
  • Nikolsky sign(+)
  • 所有黏膜病變
alt text alt text alt text
  • 上皮下裂
  • basal keratinocytes 退化、壞死
  • 慢性發炎細胞稀疏
alt text
Toxic Epidermal Necrolysis 60y ↑
  • Stevens-Johnson Syndrome,病變面積>30%

Lupus Erythematosus (LE) 紅斑性狼瘡

名稱 GLA 特徵
系統性紅斑狼瘡 (SLE) 31y
  • 蝴蝶斑
  • 太陽照射更嚴重
  • 腎衰竭 (40-50%)
  • pericarditis
  • 狼瘡性唇炎 lupus cheilitis
  • 口腔(5-25%): 硬顎、頰黏膜和 牙齦
alt text alt text alt text
Chronic cutaneous (CCLE) 侷限在皮膚、黏膜表面
  • 口腔、皮膚病變同時發生。
  • 皮膚: 圓盤狀紅斑,光敏性,有疤痕
  • 口腔: 中心萎縮、潰瘍 → 白色放射紋路
alt text
Subacute cutaneous (SCLE) -
  • SLE, CCLE 之間
  • 光敏性皮膚病灶,無疤痕
  • 口腔類似 CCLE
alt text

組織

alt text alt text
alt text alt text

牛皮癬皮膚炎

Psoriasiform Dermatitis

名稱 成因 GLA 特徵
Psoriasis
牛皮癬
  • GENE: PSORS1 (HLA-Cw6 的等位基因)
  • Type IV 過敏: TH17打 keratinocyte
20-30y,頭皮、手肘和膝蓋
  • 夏季改善,冬季惡化
  • 紅底,銀灰皮削,無症狀(少數乾癢)
  • 關節炎(10%),影響 TMJ
  • 牙周病略為關
alt text alt text
  • hyperkeratosis, Rete ridge 延長
  • 角蛋白(parakeratin)異常 → 角蛋白層 neutrophil 聚集
alt text alt text
Erythema Migrans
游移性紅斑,地圖舌
都沒啥相關 多到少:
  1. 舌背前 2/3
  2. buccal, labial mucosa
  3. 軟顎或口底
  • 紅色: 絲狀乳頭去角化
  • psoriasis 組織特徵
  • 血檢
    • == HLA-Cw6 ==
  • 部分學者認為牛皮蘚、乾蘚最常見的症狀就是地圖舌
alt text alt text
Reactive Arthritis (RA)
反應性關節炎
可能有免疫介導 -
  • 細菌性痢疾 (沙眼衣原體 Chlamydia trachomatis )的繼發疾病
  • 皮膚黏膜表現: 非淋病性尿道炎 + 結膜炎 + 關節炎
    • 環狀龜頭炎
  • HLA-B27+
  • psoriasis 組織特徵
alt text

Collagen and Elastic Tissue

名稱 成因 GLA 特徵
Ehlers-Danlos Syndrome 體顯性 (80%)
Type V collagen
GENE: COL5A1, COL5A2
-

Classical type

  • 表皮彈性過高(Hyperelasticity of the skin)
  • papyraceous scarring(薄如紙的瘢痕組織)
  • 牙齒: 畸形、大Pulp stone, 牙根牙釉質發育不全

Hypermobility type

  • 關節度變大
  • Scar 不明顯

Vascular/ ecchymotic type

  • Collagen III 異常
  • 瘀血, 動脈瘤

type VIII

  • 較早的牙周病,基因為 C1R and C1S
Marfan’s syndrome GENE: FBN1 (fibrillin-1,肌原纖維,影響 Collagen) -
  • 長四肢、大手掌、長手指
  • Gorlin sign: 舌頭碰鼻尖
  • 鷄胸症(pectus carinatum): 胸骨突出
  • 漏斗胸(pectus excavatum): 胸骨後突
  • 背部綫條筆直
  • 二尖瓣脫垂(mitral valve prolapse)
  • 動脈瘤(aneurysm)
  • 必須給予術前抗生素
Tuberous Sclerosis
(結節型硬化症, Epilolianuria)
體顯性,
GENE: TSC1, TSC2
-
  • 緻密的纖維結締組織增生
    • 下顎 radiolucent lesion
    • 血管纖維瘤(angiofibroma): 鼻翼, 指甲旁
alt text
  • 結締組織錯構瘤
    • Shagreen patches
    • Ash-leaf spots: Ash-leaf spots
    • CNS: radiopaque lesion, potato like 增生
alt text alt text alt text
  • 血管平滑肌脂肪瘤 (angiomyolipoma): 腎臟,雙側
  • CNS: 癲癇(70%), 智能障礙(30%)
  • 心臟橫紋肌瘤 (cardiac rhabdomyoma)
  • enamel pitting: 恆齒前牙
  • 多發性的纖維丘疹(Multiple fibrous papules)
alt text alt text
Proteus syndrome GENE: AKT1 (PKB related) -
  • sporadic(散發性,非遺傳性)
  • 骨骼異常增大
    • 巨頭、巨指、長骨過度生長
    • 脊柱側彎(scoliosis)
    • 顱外骨疣(cranial exostoses): 外耳、鼻樑、alveolar ridge
  • moccasin foot: 足部軟組織過度生長
  • 龐狀表皮痣(verrucous epidermal nevi)
  • 皮下病變
    • 脂肪瘤, 血管瘤, 淋巴管瘤
    • 皮下和深部軟組織錯搆瘤
  • 血管異常
    • 多發性鮮紅斑痣(multiple port wine stains)
    • 靜脈曲張(varicose veins)
alt text

特發性結締組織疾病

Idiopathic Connective Tissue Disorders

名稱 成因 GLA 特徵
Systemic Sclerosis
全身性硬化
M2 macrophage 相關 成年
  • Raynaud phenomenon(雷諾現象): 情緒困擾、寒冷暴露 → 血管收縮
  • Claw-like finger(爪狀指): 末端指骨吸收、屈曲攣縮 → 手指變短
  • 指尖潰瘍
  • 皮膚: 瀰漫堅硬、光滑
  • 鼻翼萎縮,老鼠臉
alt text alt text
  • 小口症 (Microstomia)
  • 口乾症 (xerostomia), Sjogren syndrome 可能伴隨
  • 所有 PDL 增寬
  • 骨吸收
alt text
  • 檢測 anti-Scl 70 (topoisomerase I)
  • vessel 阻塞,Dense collagen 堆積
alt text
localized scleroderma 類似 Systemic Sclerosis, 但指影響一塊局部皮膚,無後遺症
CREST Syndrome 一種 Scleroderma 變形 50-60y
  • Calcinosis cutis (皮膚鈣質沉著症)
    • 多發,可移動,不軟
  • Raynaud phenomenon(雷諾現象)
  • Esophageal dysfunction(食道功能異常)
  • Sclerodactyly (皮硬化)
  • Telangiectasias (毛細血管擴張)
    • 臉部皮膚、朱紅區
    • 可能大量出血

缺鐵性貧血相關病症

名稱 成因 GLA 特徵
Hereditary Hemorrhagic Telangiectasia (遺傳性出血性微血管擴張症,HHT,Weber syndrome) 體顯性,GENE
  • HHT1: endoglin (ENG)
  • HHT2: activin receptor-like kinase (ALK1; ACVRL1)
  • HHT + juvenile polyposis: MADH4
  • 流鼻血(epistaxis)而被診斷
  • 口鼻黏膜紅色丘疹,壓迫變白
  • 萎縮性舌炎
  • 腸道易出血 → 慢性缺鐵性貧血
  • 動靜脈廔(arteriovenous fistulas)
  • 牙周血管畸形 → 菌血 → 化膿性肺栓塞
Plummer-Vinson syndrom - 30-50y
  • 癌前變化 → SCC
  • 食道蹼(esophageal webs) → sideropenic dysphagia(缺鐵性吞嚥困難)
  • 萎縮性舌炎
  • 匙狀指甲(koilonychia)
alt text alt text

退化性、代謝性疾病

Degenerative and Metabolic Diseases

名稱 成因 GLA 特徵
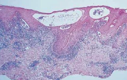
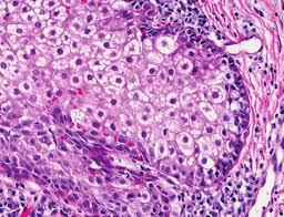
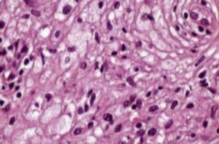
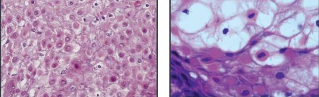
Acanthosis Nigricans
黑色棘皮層增厚病
良性
  • 胰島素阻抗有關
    • 可能遺傳性、內分泌、藥物相關
惡性
  • 差異: 皮膚彎曲區域出現細小乳頭
  • 口內特徵 (主要在惡性)
    • 瀰漫性的黏膜改變,呈現細乳頭狀
  • 內臟惡性腫瘤
alt text alt text
  • Oral: Acanthosis 多 , Melanin 少
  • Dermin: Acanthosis 少, Melanin 多
Xanthelasma
黃斑瘤
血脂升高 中老年,眼周圍
  • 軟,黃
  • 動脈粥樣硬化(atherosclerosis) risk ↑
  • 最常見的皮膚黃瘤
  • superficial 至 mid-dermal 存在 xanthoma cell
alt text alt text

血管疾病

Vascular Diseases

名稱 成因 GLA 特徵
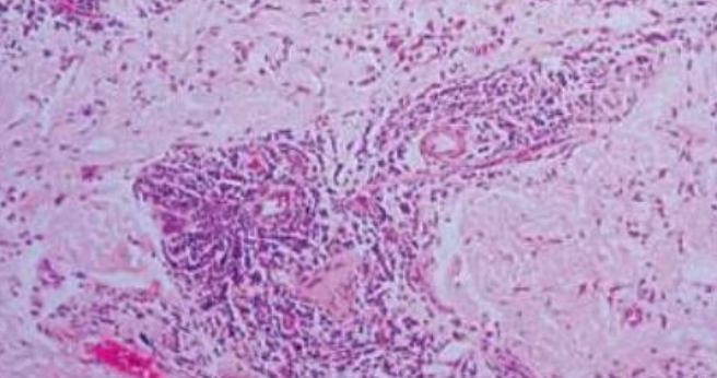
Behçet Syndrome
  • neutrophilic hyperactivity → 系統性血管炎
  • HLA-B51
30-40y,眼部、口腔、生殖器和皮膚
  • 口腔: 口瘡性潰瘍(aphthous ulcerations), 周圍有較大的瀰漫性紅斑區
  • 皮膚:
    • pathergy test + (皮下生理食鹽水注射試)
    • 結核菌素樣皮膚反應
  • 眼部:
    • 男性更常見
    • 發炎 → 白內障(cataracts)、青光眼(glaucoma)、視網膜的新生血管
    • 即使治療,25%仍會失明
  • 關節炎,但不變形
  • 生殖器
    • 男性: 90%涉及陰囊
    • 女性: 於外陰、陰道或子宮頸
    • 流疤,復發低
alt text alt text alt text
  • 白細胞破碎性血管炎(leukocytoclastic vasculitis),非獨有
  • 嗜中性球的壁內浸潤(intramural invasion)、嗜中性球核破裂(karyorrhexis)、紅血球外滲和血管壁纖維蛋白樣壞死(fibrinoid necrosis)
alt text alt text
MAGIC syndrome Behçet syndrome 變形。多發性的口腔與生殖器潰瘍,間質性的軟骨炎
(Mouth and Genital Ulcers with Inflamed Cartilage Syndrome )
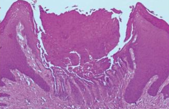
Aphthous Ulcer
口瘡性潰瘍
CD8+ T cell 破壞上皮 30y↓, 非角化上皮
  • 40% 患者有家族史
  • 中間黃,外紅暈
  • Minor type
    • 最常見,80%
    • buccal and labial mucosae
    • φ: 3-10mm
    • 7-14d 癒合
    • 熱癢痛, 7-14 天消失
  • Major type
    • 較深
    • φ: 1-3 cm
    • 2-6w 癒合
  • Herpetiform
    • 多發,且頻繁復發的 Minor
alt text alt text alt text
Kawasaki Disease
川崎氏病
- 10y↓亞裔
  • 雙側眼球結膜炎
  • 頸部淋巴結腫大
  • 皮膚:
    • 手掌和腳底紅斑、水腫、指甲周圍脫屑
    • 多形性瀰漫性斑丘疹
  • 口腔:
    • 草莓舌
    • 嘴唇乾裂
    • 咽部紅斑
  • 有冠狀動脈擴張或動脈瘤 (15-25%,致命)

其他

指甲

alt text

舌頭

alt text

天疱瘡們

alt text

裂開

牙齒 Hemidesmosomes 無 17 → MMP 口內病灶常見

目標 EB Pemphigus
Hemidesmosomes
Keratin 5,14 Simplex -
BP230 - BP
Collagen 17 (BP180) Junctional BP, LAD
Laminin-332 MMP
α6β5 integrin MMP (α6)
Collagen 7 (BP290) Dystrophic, EBA -
Desmosomes
Desmoglein 1,3 - PV, PP
Plakin family - PP
alt text alt text

復發性口瘡

alt text