唾液腺疾病

Cyst, 增生, 壞死

原因 好發 年齡 特徵
Mucocele/Ranula (口底) mucous extravasation Duct 破 下唇 Youth
  • 發炎 → Foamy cell
  • 藍色腫
alt text
mucus retention cyst Duct 阻塞 - 較老
  • true cyst
  • 少發炎 (close)
alt text
Maxillary sinus lesion pseudocyst 創傷、發炎導致膿液堆積在 CT alt text - -
  • 單側,界線清楚,均值半球
  • 自行破裂,不用治療。
alt text
retention cyst 黏液腺分泌受阻 - - cystic lesion 充滿黏液、少發炎
Post Operative Maxillary Cyst 相關手術後併發症,granulation tissue 陷入粘膜 - 術後長時間 & 30-50y
  • 腫痛
Necrotizing sialometaplasia (壞死性涎腺變生) 缺血 → 局部破壞性發炎: 局部麻醉劑(Dental injection) 、不合的假牙 軟硬顎連接處、小唾液腺 46y
  • 火山口狀潰瘍,不太痛 (與潰瘍大小不成比例)
  • 5-6 週自己會好,持續 2 週懷疑惡性
alt text
  • Duct 鱗狀化生 (Squamous metaplasia, ~SCC)
  • 腺泡壞死(acinar necrosis)
  • 小葉結構完整
  • 無細胞異生 (no cytologic atypia)
alt text
Adenomatoid hyperplasia 不明 - 40-60y
  • 局部腫脹
  • 腺泡(acini)、小葉(lobule)變多變大,但型態正常
  • 無發炎浸潤
Oncocytosis
瘤細胞增多症
oncocyte 在唾液腺裡面一區一區的增生 Parotid g. 老人
  • 不會malignant change,預後良好
alt text

Sialadenitis

原因 好發 年齡 特徵
Sialadenitis Mumps - - Youth
  • 雙側,初期不對稱
Acute Bacterial ~ S.aureus,
S.viridans,
S. pneumoniae
-
  • 表淺,疼痛,紅斑
  • 低燒,有 Pus
alt text
Chronic Duct 阻塞 -
Subacute Necrotizing ~ (亞急性壞死性) - Palate Youth
  • 多種發炎
  • Acinar cell 消失
  • Duct squamous metaplasia
  • 兩週自愈
Cheilitis Glandularis 太陽? 下唇 老男
  • Dysplasia: 彈性纖維 (solar elastosis)
  • → SCC (18%-35% )
alt text
Küttner tumor IgG4-related disease Submandibular g. -
  • 纖維化,Acini 破壞
  • 淋巴球浸潤
Mikulicz Disease (米庫立茲氏病) Parotid g. - 雙側腮腺、淚腺腫大、席紋樣纖維化(storiform-type fibrosis)、淋巴球浸潤 alt text

其他

原因 好發 年齡 特徵
Sialolithiasis (唾液腺結石症) 和鈣、磷的代謝無關 Submandibular gland -
  • 單發
  • 用餐 30mins 痛
  • 硬、不移動
  • 檢測需要 occlusal film
alt text
Sialadenosis (Sialosis,唾液腺腫大) 治療效果不好,除非控制住潛在的系統性疾病
Sialorrhea (excessive salivation,流涎症)
Xerostomia (dry mouth,口乾症) - 舌乳頭萎縮、鵝口瘡(oral candidiasis), 蛀牙 alt text
Sjogren syndrome 慢性、系統性、自體免疫疾病 腮腺 (85%) 中年
  • 口乾症(xerostomia)、乾眼症(xerophthalmia)
  • 4 mm的腺體有超過50個lymphocyte
  • HLA-B8(primary), HLA-DR3(primary), HLA-DRw52(secondary)
  • 支持療法,40x Lymphoma
alt text

乾眼症檢測: Schimer test

把試紙放在病人眼下5分鐘,觀測溼透的程度是否低於8mm

Value(試紙沾濕長度) Condition
>10mm/5min Normal
<5mm/5min Highly suggestive
0-2mm/5min Strongly confirm a dry-eye state

乾口的檢測

Tumor

alt text
好發位置 種類 age 特徵
Acinus Acinic cell CA -
  • capsule
  • 淋巴結轉移: 8-11%
  • 多變的結構及細胞型態:
alt text
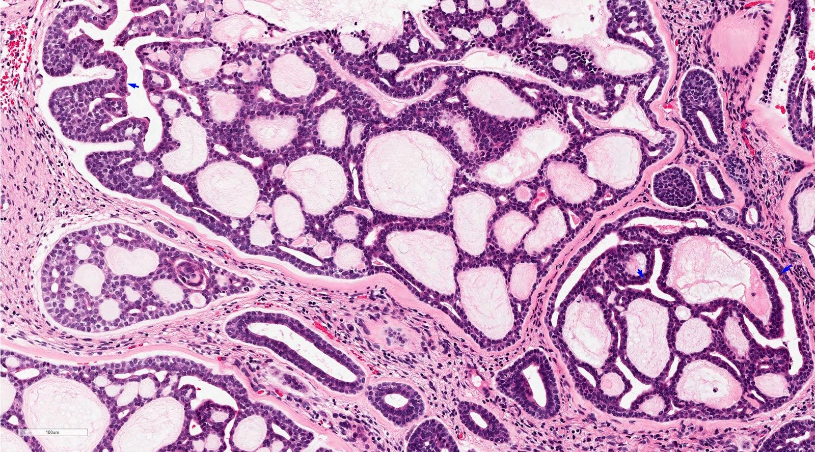
Intercalated duct Pleomorphic adenoma
(PA, 多型性腺瘤)
良,1st
30-55y
  • 主要來源: 上皮、myoepithelial cell
  • 長越久,轉惡機率越大
  • 如果幾乎 myoepithelial cell → myoepithelioma (良)
  • 邊界明顯,capsule,但可能沒包好 → Daughter nodule → carcinoma ex pleomorphic adenoma
alt text alt text
Malignant mixed tumors Carcinoma ex pleomorphic adenoma alt text
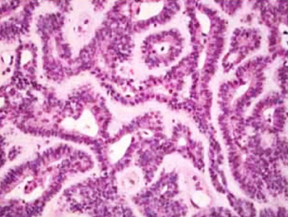
Adenoid cystic CA (AdCC) -
  • 好發: minor salivary g.
  • 邊緣不完整,易復發
  • 大於50%轉移
  • GENE: MYB-NFIB fusion
  • 易有神經侵犯 → 痛
  • CD43(+), CD117(+)
  • hyalinized or myxoid 的 myoepithelial cell 組成篩狀結構
  • Basement membrane 厚
  • 可能存在導管(藍箭頭)
alt text alt text alt text
Epithelial myoepithelial CA
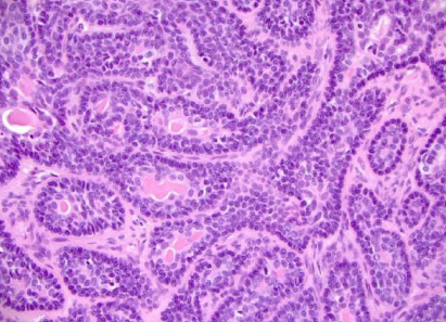
Polymorphous (Low-grade)adenocarcinoma (PLGA) Palate,老人
  • 好發: minor salivary g., Palate(65%)
  • 多型態,邊界清楚
  • 見神經侵犯
  • CD43(week+), CD117(week+), GFAP(-)
  • 預後好
  • 微鼓起,中間有ulcer
alt text alt text
  • Indian-file
alt text
Monomorphic adenoma
Canalicular Adenoma
小管腺瘤
上唇(75%),70y ↑
  • 兩條單層柱狀或立方平行排列
  • 血管多易出血(high vascularity)
  • Cyst
alt text alt text
Basal cell Adenoma 基底細胞腺瘤 中老年人
  • parotid gland最多(75%),小唾液腺次之
  • 觸診時可以移動
  • 具有capsule
  • 分四型
membranous type
  • 底層深染
  • 一圈厚 hyaline 堆積
alt text
Salivary duct carcinoma
(唾液腺管癌)
老人
  • 較惡性
  • 通常是parotid gland(可能雙側)
  • 與 ductal carcinoma of breast 一樣有 invasive and in situ 的樣子,會比較常出現在 較大的 calated duct 中
  • AR(androgen receptor)(+)
Striated duct Warthin’s tumor良,2nd 50-70y
  • 抽菸相關
  • Papillary cystadenoma lymphomatosum
    • 顯微下可見到管腔(cyst)周圍呈現乳突狀(papillary)突起,背景可以看到很多lymphoid tissue
alt text alt text
Oncocytoma 良,3rd
嗜酸細胞瘤
80y
  • major salivary g. (85-90%),parotid gland
  • 界線分明
  • 嗜酸細胞質,大量mitochondria
  • glycogen堆積 (PAS+,-)
alt text
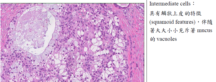
Excretory duct Mucoepidermoid carcinoma1st 2-70y
  • Radio relation
  • parotid gland (60-70%) → Palate
  • GENE:MECT1-MAML2 fusion
alt text alt text
  • 缺乏capsule、infiltrating border
  • 分成三種細胞: Squamous cell, Mucin-secreting cell, intermediate hybrids(前二之間,前驅)
alt text
Central type
  • 最常見 intrabony salivary
  • 來自齒源性上皮
  • 大部分 low grade
  • radiolucency
alt text
Ductal adenocarcinoma
Epidermoid carcinoma
Papilloma

整理

alt text