原因 | 好發 | 年齡 | 特徵 | ||
---|---|---|---|---|---|
Dentigerous cyst (DC) | follicle 分離 | 38,48 | 10 - 30y |
![]() |
|
Eruption cyst (EC) | Dentigerous 萌發 | 12a, 12b, 34a, ?6 | 10y ↓ | 藍色或紫棕色 ![]() ![]() |
|
Odontogenic Keratocyst cyst (OKC) |
|
下顎骨後端,下齒槽管上方 | 10-40y | 組生齒(40%) | |
Radiolucent、 MD方向下顎骨吸收,但牙根完整。 ![]() |
|||||
4-8 層、副角化(有核)、Basal cell 為 palisaded(柵狀) | |||||
高復發 (30%) | |||||
Orthokeratinized Odontogenic cyst (OOC) |
- | 下顎後牙 | 年輕人 | 阻生齒 (66%)、 granule layer 明顯 、 生長慢 |
|
Gingival Cyst of the newborn | dental lamina rest | 新生兒上顎牙齦 ![]() |
- | 管腔內含有角質碎屑(keratinaceous debris) ![]() |
|
Gingival Cyst of the adult (LPC 長出來) | 下顎premolar、canine facial 牙齦 | 40-60y | 藍色(bluish)、藍灰色(DeepSkyBlue-gray) ![]() |
||
focal plaques | |||||
focal plaques![]() |
|||||
Lateral Periodontal (LPC) | 下顎 premolar、canine、lateral incisor lateral root 表面 | 40-70y | |||
類似 OKC,但推開牙齒 ![]() |
|||||
Botryoid Odontogenic Cyst (BOC) | 多囊 LPC | ||||
Calcifying Odontogenic Cyst ( Gorlin Cyst, COC) |
- | 前牙(65%) ![]() |
20-40y 若有 odontoma,17y 發病 |
未萌發的牙齒(33%)、 阻生齒(66%) | |
basal cell reverse polarity ![]() |
|||||
ghost cells (嗜酸無核) ![]() |
|||||
β catenine + | |||||
Peripheral Calcifying Odontogenic Cyst | COC 長出來 | - | 60-80y | .![]() |
|
Glandular Odontogenic Cyst (GOC) | - | 下顎前牙 | 46-51y | 跨中線、無 MAML2 | |
復發、局部侵犯性,吃 cortical bone ![]() |
|||||
杯狀細胞, cilia, focal plaques |
Gorlin syndrome
MAL2 讓 MEC 預後好
原因 | 好發 | 年齡 | 特徵 | |
---|---|---|---|---|
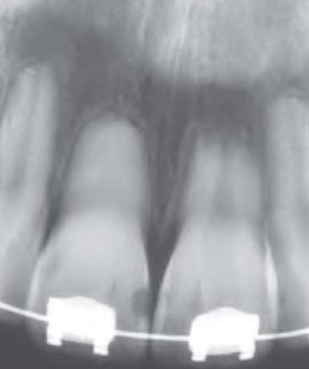
Periapical(radicular) cysts | Rest of Malassez 被刺激 | - | - | true/ periapical cyst 圓形的光通性包圍根尖 |
牙根吸收, 2cm ↑ 根管治療無效 ![]() |
||||
Buccal Bifurcation Cyst | 36, 46 Buccal (兩側 1/3) | 5-13y | - |
![]() |
原因 | 好發 | 年齡 | 特徵 | |
---|---|---|---|---|
Palatal Cysts of the Newborn | Epstin’s pearl → 融合線的上皮 | 中腭裂(前)、多發性 | - | 白色或黃白色, 角化, 不需治療![]() |
Bohn nodules → 小唾液腺 | 散佈在硬腭軟顎的交界(後)、多發性 | |||
Nasolabial Cyst |
融合線![]() |
上唇中線旁(外側),軟組織內 | 40-50y | 不痛 |
纖毛上皮, goblet cells, 附近有肌肉![]() |
||||
facial depression![]() |
||||
Nasopalatine duct cyst |
Nasopalatine duct 上皮的殘留 | 顎部前 | 40-60y | 藍![]() |
牙根吸收![]() |
||||
多種上皮, cilia, goblet cell, 神經和血管可見 | ||||
Incisive canal cyst |
NDC 特例 | Incisive papilla 內![]() |
φ < 6mm | |
Median palatal cyst | lateral palatal shelves 融合時將上皮困住 | palatine papilla 後硬顎中線 | 年輕 | 表面是多層鱗狀上皮 |
無神經、血管、cilia、goblet cell![]() |
||||
Epidermoid Cyst (Infundibular cyst) |
trauma | - | 青春期後 | 凹陷![]() |
正角化上皮,爆開會被當異物 → granuloma | ||||
Gorlin syndrome | 多發性 | |||
Gardner syndrome | 青春期前 | |||
Milia | - | 類似 Epidermoid Cyst | - | 小、黃或白、充滿keratin |
位於 Superficial dermis | ||||
Pilar (Trichilemmal) cysts 毛髮囊腫 |
- | 頭皮 (90%)、多發性(70%) | - | 無凹陷開口 |
cholesterol clefts(90%), 淡染, 無 granular layer![]() |
||||
破裂 → 發炎細胞湧入 cyst → secondary inflammation | ||||
Dermoid Cyst | Teratoma | 口底中線 | 兒童、年輕 | 多個 germ layer |
正角化上皮, Cyst Wall 有皮膚附屬物(皮脂腺細胞核居中)![]() |
||||
Thyroglossal Duct Cyst 甲狀舌管囊腫 |
甲狀腺殘留 | 脖子中線上、舌骨下(75%) | 20y ↓ (40%) | Cyst wall 上有 Thyroid follicle![]() |
Branchial Cleft Cyst (cervical lymphoepithelial cyst,鰓裂囊) |
branchial arches 殘留 (2nd,95%) | SCM 前/下![]() |
10 - 40y | 複層鱗狀、淋巴、發中心(germinal center)。 |
Oral Lymphoepithelial Cyst | 上皮內陷(invagination)淋巴 → keratin debris | Waldeyer ring, 口底, 舌腹, 軟顎 | 年輕人 | φ<1cm 的黏膜下黃白色腫塊![]() |
單發→發育 多發→HIV |
不含rete ridges, 角化不全並脫落填滿空腔, 淋巴組織包圍![]() |
魏氏環(Waldeyer ring)
原因 | 好發 | 年齡 | 特徵 | |
---|---|---|---|---|
Mucocele | 唾腺導管破裂,黏液灑入周遭的軟組織間隙 | 下唇中線旁(易咬到) | 常見 | 透明藍色, 波動感(fluctuant), 高復發 ![]() |
發炎,granulation tissue 包圍黏液 ![]() |
||||
Ranula 蛤蟆腫 | 口底、和舌下腺有關的 Mucocele | - | ||
Stafne Defect (Stafne Bone Cyst ,骨內囊腫) | 唾液腺擠壓 cortical bone → x-ray 透光 | 後側 mandibular canal | 中年 | 大小固定,邊界明顯 ![]() |
Simple Bone Cyst 單純性骨囊腫 |
空()或液體骨腔 | 肱骨、 股骨近端、 下顎後牙、 下顎聯合區 | 年輕人 | 少疼痛、皮膚感覺異常 |
不須積極治療,復發率低 (例外: cementoosseous dysplasia) |
||||
侵犯牙根之間區域,不影響鄰牙,近遠心擴張 ![]() |
||||
Aneurysmal Bone Cyst 動脈瘤性骨囊腫 |
大小不等骨內堆積被纖維結締組織和活性骨包圍,並充滿血液 | 長骨或脊椎骨、 下顎(2%)後牙 | 30y ↓ | 骨頭腫得快,可能多房,邊界不一定完整 ![]() |
Granulation tissue: 巨噬細胞蝕骨 ![]() |
- COC 在前區
- BOC = 多囊 LPC → 在 premolar
- Slaodontogenic Cyst (GOC) 在前牙跨中線
- 上皮組織惡性病變: carcinoma
- 間葉組織惡性病變: sarcoma
原因 | 位置 | 年齡 | 特徵 | |||
---|---|---|---|---|---|---|
Ameloblastoma | 多囊腫型 (coventional solid or multicystic intraosseous) |
|
下顎 (80-85%) | - |
|
|
follicular Pattern
![]() |
||||||
plexiform pattern
![]() |
||||||
basal cell pattern
![]() |
||||||
acanthomatous pattern![]() |
||||||
granular cell pattern
![]() |
||||||
前牙 | desmoplastic pattern
![]() |
|||||
單一囊腫型(unicystic) | 下顎後 | ~23y |
![]() |
|||
luminal ameloblastoma ![]() |
||||||
intraluminal ameloblastoma 多為 plexiform type ![]() |
||||||
mural ameloblastoma ![]() |
||||||
骨外囊腫型(peripheral/ extraosseous) | 下顎後、軟組織限 | 52y | plexiform 或是 follicular pattern ![]() |
|||
局部切除, 15-20% 復發 | ||||||
Ameloblastic Carcinoma | - | 下顎後側 | 50-60y | 放射線 不規則,邊界不清楚。 |
||
Calcifying epithelial odontogenic tumor (CEOT) | - | 下顎 | 30-50y |
![]() |
||
![]() ![]() |
||||||
Adenomatoid odontogenic tumor (AOT) | - | 上顎、前牙、犬齒、頰側 | 10-19y | Tumor of two-third
|
||
無痛小病灶(φ<3cm),變大時骨膨脹 | ||||||
radiolucency 跨過 CEJ,可能有鈣化 ![]() |
||||||
![]() |
||||||
Squamous odontogenic tumor | 錯位 | 上顎前,下顎後 | - |
![]() |
||
Clear cell odontogenic carcinoma | biphasic | 一堆 Clear cell, 一堆 Glycogen | - | - |
![]() |
|
monophasic | - | - | - |
![]() |
||
ameloblastoma-like | - | - | - |
![]() |
原因 | 位置 | 年齡 | 特徵 | |||
---|---|---|---|---|---|---|
Ameloblastic fibroma | - | 下顎臼齒區 | 20y ↓ |
![]() ![]() |
||
Ameloblastic fibrosarcoma | Ameloblastic fibroma 惡化 | 下顎(80%) | 27.5y (1.5:1) |
|
||
|
||||||
Odontoma | compound | 最常見 | 上顎前牙 | 20y ↓ |
![]() ![]() |
|
complex | 後牙 |
![]() ![]() |
||||
Ameloblastic fibro-odontoma | Ameloblastic fibroma + Odontoma | 下顎後 | 10y |
![]() |
||
Primordial Odontogenic Tumor 新 | - | 下顎後牙(3^rd 大臼齒, 乳臼齒) | 10y-20y |
![]() |
||
– |
原因 | 位置 | 年齡 | 特徵 | |||
---|---|---|---|---|---|---|
Odontogenic fibroma | central type罕 (骨內) | - | 上顎為第一大臼齒以前、下顎為第一大臼齒以後 | 未萌發的牙齒(5%) |
![]() |
|
Simple, WHO ![]() |
||||||
peripheral type (軟組織) | - | 下顎牙齦 facial | 10-40y | 又稱 Odontogenic epithelial harmatoma, Peripheral fibroameloblastic dentinoma | ||
![]() ![]() |
||||||
Granular Cell Odontogenic tumor | - | - | - |
![]() |
||
Odontogenic myxoma 齒源性黏液瘤 |
- | 顎骨限(下顎稍高) | 25-30y |
![]() ![]() |
||
間質淡粉紅色,看不太到 collagen fiber | ||||||
Cementoblastoma | cementoblast 狂做 | 下顎(75%),後牙(90%),下顎第一大臼齒(50%) | <20y (50%) |
![]() |
||
![]() ![]() |
男性較多 | 女性較多 |
---|---|
OOC odontogenic carcinoma NDC EC Stafne Defect Simple Bone Cyst 長骨型 |
Nasolabial Cyst Gardner syndrome Pilar cysts |
必定伴隨阻生牙 | 可能伴隨阻生牙 | 一定不伴隨阻生牙 |
---|---|---|
|
|
|
牙根吸收 | 牙根不太吸收 |
---|---|
|
|
|
|
|
正角化上皮 | 不完全角化上皮 | 非角化上皮 |
---|---|---|
|
|
|
單房 Unilocular | 多房 Multilocular |
---|---|
OOC COC Simple Bone Cyst |
GOC Ameloblastoma |
Low-risk | High-risk |
---|---|
良 | 惡 |
episomal form | integrated form |
episomal v.s. integrated form
變異名稱 | 風險/ 原因 | 位置 | 症狀、特徵 | |||
---|---|---|---|---|---|---|
papilloma (6, 11) |
30~50y | 軟顎、口腔常見 | 單發、低傳染 | |||
pedunculated, sessile(少) ![]() |
||||||
stratified squamous epi. 包結締組織 hyperparakeratosis (有核、顆粒層缺失) ![]() |
||||||
Verruca vulgaris 尋常疣 (2, 4) |
- | 皮膚、口腔(少見、接觸、自傳染) | 大多是sessile(無梗) | |||
![]() |
||||||
小孩身上有機會自行痊癒,治療需要 basal layer 清乾淨 | ||||||
Condyloma acuminatum 尖銳濕疣 |
- |
|
多顆、界線清楚、無痛、兒童有機會自愈 | |||
廣底、papillary 突起不明顯、Koilocytes (空亮、葡萄乾核) ![]() |
||||||
Multifocal epithelial hyperplasia (Heck’s disease, 13, 32) |
低社經、HIV | 唇、頰、舌 | 小、軟、多、無痛 | |||
Papillomatous variant
![]() |
Papulonodular
![]() |
|||||
![]() ![]() |
||||||
Verruciform xanthoma (非 HPV) | Leasion 旁,異常免疫反應 | 口腔 > 皮膚 > 性器 | 油脂撐起 epi. 形成 Verruciform。非 Metabolic ![]() ![]() |
|||
![]() |
diastase-PAS
名稱 | 單發? | 風險/位置 | 特徵 | ||
---|---|---|---|---|---|
Oral melanotic Macules | 單 | 下唇朱紅區(vermilion zone, 33%), Buccal mucosa, gingiva, palate | 表面平坦、棕黑色、邊界清楚、φ<5mm ![]() |
||
不須治療,但不易和 Oral melanoma 分辨 → 燒毀! | |||||
黑色素失禁(melanin incontinence): basal cell 可能破損 → macrophage 於 CT 吞噬 → melanophage ![]() |
|||||
Physiologic Pigmentation (生理性) | 多 | 黑人 | - | ||
Chronic irritation (慢性刺激) |
|
||||
Syndromes or Diseases Associated |
|
||||
Drug-induced | 奎寧(chloroquine), palate | 左右沒有完全對稱 ![]() |
|||
melanin堆積,確診直接 Bleaching |
一些名詞
咖啡牛奶斑
可以從 Melano cell, Naevus 轉過來,多變,甚至可以沒有 Pigmentation
ABCDE
Horizontal phase(Radial) → Vertical phase (Invasive)
染色:
Cutaneous melanoma
GLA:
白人成人,中年(45-84歲,平均61歲)GENE:
Oral mucosal melanoma
GLA:
男性,hard palate or maxillary alveolus,50-70yGENE:
Kit (CD117)類型 | 好發 | 特徵 | ||
---|---|---|---|---|
Superficial Spreading (Pagetoid) - |
|
![]() ![]() |
||
Nodular - | 無 Radial phase,直接往下侵犯 | |||
Lentigo maligna | 中臉(陽光曝曬) |
![]() ![]() |
||
Lentigo maligna - | Lentigo malign 侵犯 | |||
Acral Lentiginous - | oral melanoma中最常見的類型 |
|
||
|
煙、酒、檳榔
名稱 | 原因 | 特徵 | ||
---|---|---|---|---|
Oral submucous fiberosis | Arecoline (檳榔鹼) |
|
||
Leukoplakia, Erythroplakia | 紅斑較嚴重,不產生角質 ![]() |
|
||
.![]() |
||||
Poliferative verrucous leukoplakia (pbl) | ? |
![]() |
||
![]() ![]() |
OED ∈ OMPD
GENT:
根據和正常上皮的相似度及產生的 keratin 多寡來分級
Grading 的判斷較為主觀,staging 和預後(prognosis)的相關性比 grading 高很多。
Staging > Grading
特徵 | HPV(+) | HPV(-) |
---|---|---|
發生率趨勢 | 增加 | 減少 |
年紀 | 55-58y | + 3 ~ 4 y |
危險因子 | 多重性伴侶、抽菸 | 抽菸、酒精 |
分期(stage) |
|
Variable |
來源 | 顎和舌扁桃腺的隱窩上皮 (crypt epithelium) | 表層上皮 (surface epithelium) |
癌前病變 | 難偵測 | Squamous dysplasia |
主要型態 | nonkeratinizing SCC | keratinizing SCC |
分級(grading) | ✗ | ✓ |
p16 IHC | + | - |
存活率 | 較好 | 較差 |
常常病人來的時候都已經轉移到頸部淋巴,頸部淋巴結通常不會痛
HPV type 16 (90%)
Risk: 性行為
GLA: 4:1, -, 55-58y
組織
罵取硬要補充,都給他講就好啦
三階段
組織
與皮膚、黏膜破壞相關的Immune disease、precancerous disease
TX
: 無法評估Tis
: carcinoma in situMinor
: 擴散< 2 mmMajor
: 擴散> 2 mmNX
: 淋巴結無法被評估M1
: M0
Note
DOI(mm) \ size(cm) | < 2 | 2~4 | > 4 |
---|---|---|---|
< 5 | T1 | T2 | T3 |
5~10 | T2 | T2 | T3 |
>10 | ? | T3 | T3 |
N | 淋巴結 | 大小 | ENE | |
---|---|---|---|---|
1 | 單 | 同 | ≤ 3 cm | ✗ |
2a | 3-6 cm | |||
2b | 多 | ≤ 6cm | ||
2c | - | 對/雙 | ||
3a | - | - | > 6 cm | |
3b | - | - | - | ✓ |
原因 | 好發 | 年齡 | 特徵 | ||||
---|---|---|---|---|---|---|---|
Mucocele/Ranula (口底) | mucous extravasation | Duct 破 | 下唇 | Youth |
![]() |
||
mucus retention cyst | Duct 阻塞 | - | 較老 |
![]() |
|||
Maxillary sinus lesion | pseudocyst | 創傷、發炎導致膿液堆積在 CT ![]() |
- | - |
![]() |
||
retention cyst | 黏液腺分泌受阻 | - | - | cystic lesion 充滿黏液、少發炎 | |||
Post Operative Maxillary Cyst | 相關手術後併發症,granulation tissue 陷入粘膜 | - | 術後長時間 & 30-50y |
|
|||
Necrotizing sialometaplasia (壞死性涎腺變生) | 缺血 → 局部破壞性發炎: 局部麻醉劑(Dental injection) 、不合的假牙 | 軟硬顎連接處、小唾液腺 | 46y |
![]() |
|||
![]() |
|||||||
Adenomatoid hyperplasia罕 | 不明 | - | 40-60y |
|
|||
Oncocytosis 瘤細胞增多症 |
oncocyte 在唾液腺裡面一區一區的增生 | Parotid g. | 老人 |
![]() |
原因 | 好發 | 年齡 | 特徵 | ||||
---|---|---|---|---|---|---|---|
Sialadenitis | Mumps | - | - | Youth |
|
||
Acute Bacterial ~ | S.aureus, S.viridans, S. pneumoniae |
- |
![]() |
||||
Chronic | Duct 阻塞 | - | |||||
Subacute Necrotizing ~ (亞急性壞死性) | - | Palate | Youth |
|
|||
Cheilitis Glandularis | 太陽? | 下唇 | 老男 |
![]() |
|||
Küttner tumor | IgG4-related disease | Submandibular g. | - |
|
|||
Mikulicz Disease (米庫立茲氏病) | Parotid g. | - | 雙側腮腺、淚腺腫大、席紋樣纖維化(storiform-type fibrosis)、淋巴球浸潤 ![]() |
原因 | 好發 | 年齡 | 特徵 | ||||
---|---|---|---|---|---|---|---|
Sialolithiasis (唾液腺結石症) | 和鈣、磷的代謝無關 | Submandibular gland | - |
![]() |
|||
Sialadenosis (Sialosis,唾液腺腫大) | 治療效果不好,除非控制住潛在的系統性疾病 | ||||||
Sialorrhea (excessive salivation,流涎症) | |||||||
Xerostomia (dry mouth,口乾症) | - | 舌乳頭萎縮、鵝口瘡(oral candidiasis), 蛀牙 ![]() |
|||||
Sjogren syndrome | 慢性、系統性、自體免疫疾病 | 腮腺 (85%) | 中年 |
|
乾眼症檢測: Schimer test
把試紙放在病人眼下5分鐘,觀測溼透的程度是否低於8mm
Value(試紙沾濕長度) | Condition |
---|---|
>10mm/5min | Normal |
<5mm/5min | Highly suggestive |
0-2mm/5min | Strongly confirm a dry-eye state |
乾口的檢測
好發位置 | 種類 | age | 特徵 | |||
---|---|---|---|---|---|---|
Acinus | Acinic cell CA | - |
![]() |
|||
Intercalated duct | Pleomorphic adenoma (PA, 多型性腺瘤)良,1st |
30-55y |
![]() ![]() |
|||
Malignant mixed tumors | Carcinoma ex pleomorphic adenoma ![]() |
|||||
Adenoid cystic CA (AdCC) | - |
|
||||
![]() ![]() ![]() |
||||||
Epithelial myoepithelial CA | ||||||
Polymorphous (Low-grade)adenocarcinoma (PLGA) | Palate,老人 |
![]() ![]() |
||||
![]() |
||||||
Monomorphic adenoma良↓ | ||||||
Canalicular Adenoma良 小管腺瘤 |
上唇(75%),70y ↑ |
![]() ![]() |
||||
Basal cell Adenoma良 基底細胞腺瘤 | 中老年人 |
|
||||
membranous type
![]() |
||||||
Salivary duct carcinoma罕 (唾液腺管癌) |
老人 |
|
||||
Striated duct | Warthin’s tumor良,2nd | 50-70y |
![]() ![]() |
|||
Oncocytoma 良,3rd 嗜酸細胞瘤 |
80y |
![]() |
||||
Excretory duct | Mucoepidermoid carcinoma1st | 2-70y |
![]() ![]() |
|||
![]() |
||||||
Central type
![]() |
||||||
Ductal adenocarcinoma | ||||||
Epidermoid carcinoma | ||||||
Papilloma |
Disorder of Keratinization
角質
5、14: 複層口腔上皮都有
1、6、10、16: 角化
4、13、19: 非角化
名稱 | 成因 | GLA | 特徵 | |||
---|---|---|---|---|---|---|
White Sponge Nevus良 (Cannon disease) |
體顯性 | 兩側的頰黏膜,出生時、孩童早期 |
|
|||
![]() |
||||||
Hereditary Benign Intraepithelial Dyskeratosis良 (HBID, Witkop’s disease) |
體顯性 GENE : 4q35端粒, NLRP1, M77T |
口腔與結膜黏膜,孩童 |
![]() |
|||
![]() |
||||||
Dyskeratosis Congenita 先天性角化不良 |
X隱性 GENE : DKC1 |
10y ↓ |
![]() |
|||
|
||||||
Hereditary Mucoepithelial Dysplasia良 | 體顯性 | - |
|
|||
![]() ![]() |
名稱 | 成因 | GLA | 特徵 | |||
---|---|---|---|---|---|---|
Pachyonychia Congenita 先天性厚甲症 | 體顯性 | - |
![]() ![]() |
|||
|
||||||
![]() |
||||||
Papillon-Lefèvre Syndrome | GENE : cathepsin C gene |
手掌與腳底 |
|
|||
![]() |
名稱 | 成因 | GLA | 特徵 | |||
---|---|---|---|---|---|---|
Xeroderma Pigmentosum罕 著色性乾皮病 |
體隱性,UV損傷修復不能 | 下唇和舌尖(SCC 多), 很早 (口腔: 20y↓ ; 非黑色素皮膚癌: 10y↓) |
|
|||
Peutz-Jeghers syndrome | 體顯性, 抑癌 GENE : STK11(LKB1) |
兒童早期 |
![]() ![]() ![]() |
|||
Incontinentia Pigmenti (色素失調病,Bloch-Sulzberger syndrome ) |
X顯性 GENE : NEMO (NFκB Essential Modulator) |
剛出生 |
|
|||
水皰期上皮內裂解,內部充滿嗜酸性球疣狀期過度角化, acanthosis, papillomatosis色素過度沉積階段皮下結締組織 melanin-containing macrophage,即黑色素失調(melanin incontinence)![]() |
名稱 | 成因 | GLA | 特徵 | |||
---|---|---|---|---|---|---|
Cowden Syndrome (多發性缺陷瘤症候群,Multiple hamartoma syndrome) |
GENE : PTEN (腫瘤抑制,20% 測不到) |
![]() ![]() |
||||
Muir-Torre Syndrome | DNA mismatch repair 異常, GENE : MSH2(90%), MLH1 |
50-60y, AIDS |
![]() |
|||
![]() ![]() |
Acantholytic Disorder
名稱 | 成因 | GLA | 特徵 | |||
---|---|---|---|---|---|---|
Keratosis follicularis (Darier Disease) | 體顯性, ATP2A2 mutation → 細胞內鈣離子幫浦(SERCA2) 異常 → desmosome 異常 | 10-20y |
![]() ![]() ![]() ![]() |
|||
![]() ![]() |
||||||
Warty Dyskeratoma (疣狀角化不良, Isolated Darier disease) |
- |
|
|
|||
Pemphigus 天疱瘡 |
自體免疫疾病 | |||||
vulgaris (PV,常見) | Ab 打 Desmosomes | 50y |
|
|||
![]() |
||||||
Paraneoplastic Pemphigus罕 (PP) 腫瘤誘導性天疱瘡 |
|
![]() ![]() ![]() |
||||
![]() |
Subepidermal Blistering Disease
名稱 | 成因 | GLA | 特徵 | |||
---|---|---|---|---|---|---|
Epidermolysis Bullosa (大泡性表皮鬆解,泡泡龍寶寶) |
細胞附著蛋白異常 → 異質性遺傳性皮黏膜水皰病變 | |||||
Simplex | keratin 5, 14 | 上皮內裂,輕微 | ||||
Junctional |
|
|
||||
Dystrophic type | collagen 7 | Dominant (體顯性)
Generalized Recessive (全身隱性)
|
||||
Kindler syndrome | hemidesmosomal attachment protein, kindlin-1 |
基底細胞層下方與透明層的界面處裂解 ![]() |
||||
Epidermolysis bullosa acquisita (EBA) |
|
手背 |
![]() ![]() |
|||
![]() |
||||||
Angina Bullosa Hemorrhagica | 創傷、類固醇相關 | 軟顎,中年 |
![]() |
名稱 | 成因 | GLA | 特徵 | |||
---|---|---|---|---|---|---|
Mucous Membrane Pemphigoid (黏膜類天皰瘡, Cicatricial pemphigoid,瘢痕性類天皰瘡) |
|
50-60y,口腔, 各式黏膜 |
![]() ![]() |
|||
![]() |
||||||
Bullous Pemphigoid (BP) 大皰性類天疱瘡 |
|
75-80y |
|
|||
![]() |
||||||
Linear IgA Bullous Disease (LAD) 線狀 IgA 大皰性皮膚病 |
|
青少年, 老人 |
![]() ![]() ![]() |
|||
Dermatitis Herpetiformis (DH) 疱疹性皮膚炎 |
|
青壯年和中年人 |
|
|||
![]() ![]() ![]() |
hemidesmosome
epiligrin = laminin-5 = laminin-332
type XVII collagen = BP180
type VII collagen = BP290
Lichenoid and Interface Dermatitis
名稱 | 成因 | GLA | 特徵 | |||
---|---|---|---|---|---|---|
Lichen Planus (LP) 扁平苔癬 |
壓力、甲狀腺低落? | 中年,口腔黏膜單發 |
|
|||
無症狀 網狀型 (Reticular form )
丘疹型 (Papular type)
斑塊型 (Plaque type)
![]() ![]() 有症狀 Erosive
![]() Bullous form
Ulcerative form
|
||||||
![]() ![]() |
||||||
Lichenoid Contact Reaction | amalgam (半抗原) | LP,但只出現在有 amalgam 的位置、移除 amalgam 即消失。 | ||||
Lichenoid Drug Reaction | 藥物 | 非直接性 IgG 螢光染色 → string of pearls (沿著複層鱗狀上皮的 basal cell layer 細胞膜) ![]() |
||||
Chronic Ulcerative Stomatitis (CUS) 慢性潰瘍性口炎 |
自體免疫: p63 的異構體 | 60y |
![]() ![]() ![]() |
|||
Graft-Versus-Host Disease (GVHD) | 骨髓移植 | 舌頭、唇頰側黏膜 |
|
|||
![]() |
||||||
Erythema Multiforme (EM) 多形性紅斑 |
HSV, 肺炎黴漿菌 (Mycoplasma pneumoniae) 相關 | 20-30y, 黏膜(口腔) |
![]() ![]() ![]() ![]() |
|||
![]() ![]() |
||||||
EM minor | 只有皮膚,雙側對稱 |
|
||||
Stevens-Johnson Syndrome |
|
年輕 |
![]() ![]() ![]() |
|||
![]() |
||||||
Toxic Epidermal Necrolysis | 60y ↑ |
|
B lymphocyte ↑,T lymphocyte 功能不正常
女性多
血檢
名稱 | GLA | 特徵 | |||
---|---|---|---|---|---|
系統性紅斑狼瘡 (SLE) | 31y |
![]() ![]() ![]() |
|||
Chronic cutaneous (CCLE) | 侷限在皮膚、黏膜表面 |
![]() |
|||
Subacute cutaneous (SCLE) | - |
![]() |
慢性發炎浸潤
Basal layer 退化
Basal membrane IgM、IgG 或 C3 沈積
皮膚
Psoriasiform Dermatitis
名稱 | 成因 | GLA | 特徵 | |||
---|---|---|---|---|---|---|
Psoriasis 牛皮癬 |
|
20-30y,頭皮、手肘和膝蓋 |
![]() ![]() |
|||
![]() ![]() |
||||||
Erythema Migrans良 游移性紅斑,地圖舌 |
都沒啥相關 | 多到少:
|
![]() ![]() |
|||
Reactive Arthritis (RA) 反應性關節炎 |
可能有免疫介導 | - |
![]() |
名稱 | 成因 | GLA | 特徵 | |||
---|---|---|---|---|---|---|
Ehlers-Danlos Syndrome | 體顯性 (80%) Type V collagen GENE : COL5A1, COL5A2 |
- | Classical type
|
|||
Hypermobility type
|
||||||
Vascular/ ecchymotic type
|
||||||
type VIII罕
|
||||||
Marfan’s syndrome | GENE : FBN1 (fibrillin-1,肌原纖維,影響 Collagen) |
- |
|
|||
Tuberous Sclerosis (結節型硬化症, Epilolianuria) |
體顯性, GENE : TSC1, TSC2 |
- |
![]()
![]() ![]() ![]()
|
|||
![]() ![]() |
||||||
Proteus syndrome | GENE : AKT1 (PKB related) |
- |
![]() |
Idiopathic Connective Tissue Disorders
名稱 | 成因 | GLA | 特徵 | |||
---|---|---|---|---|---|---|
Systemic Sclerosis 全身性硬化 |
M2 macrophage 相關 | 成年 |
![]() ![]() |
|||
![]() |
||||||
![]() |
||||||
localized scleroderma | 類似 Systemic Sclerosis, 但指影響一塊局部皮膚,無後遺症 | |||||
CREST Syndrome | 一種 Scleroderma 變形 | 50-60y |
|
名稱 | 成因 | GLA | 特徵 | |||
---|---|---|---|---|---|---|
Hereditary Hemorrhagic Telangiectasia (遺傳性出血性微血管擴張症,HHT,Weber syndrome) | 體顯性,GENE
|
|
||||
Plummer-Vinson syndrom罕 | - | 30-50y |
![]() ![]() |
Degenerative and Metabolic Diseases
名稱 | 成因 | GLA | 特徵 | |||
---|---|---|---|---|---|---|
Acanthosis Nigricans 黑色棘皮層增厚病 |
良性 |
|
||||
惡性 |
![]() ![]() |
|||||
|
||||||
Xanthelasma 黃斑瘤 |
血脂升高 | 中老年,眼周圍 |
![]() ![]() |
Vascular Diseases
名稱 | 成因 | GLA | 特徵 | |||
---|---|---|---|---|---|---|
Behçet Syndrome |
|
30-40y,眼部、口腔、生殖器和皮膚 |
![]() ![]() ![]() |
|||
![]() ![]() |
||||||
MAGIC syndrome | Behçet syndrome 變形。多發性的口腔與生殖器潰瘍,間質性的軟骨炎 (Mouth and Genital Ulcers with Inflamed Cartilage Syndrome ) |
|||||
Aphthous Ulcer 口瘡性潰瘍 |
CD8+ T cell 破壞上皮 | 30y↓, 非角化上皮 |
![]() ![]() ![]() |
|||
Kawasaki Disease 川崎氏病 |
- | 10y↓亞裔 |
|
牙齒 Hemidesmosomes 無 17 → MMP 口內病灶常見
目標 | EB | Pemphigus |
---|---|---|
Hemidesmosomes | ||
Keratin 5,14 | Simplex | - |
BP230 | - | BP |
Collagen 17 (BP180) | Junctional | BP, LAD |
Laminin-332 | MMP | |
α6β5 integrin | MMP (α6) | |
Collagen 7 (BP290) | Dystrophic, EBA | - |
Desmosomes | ||
Desmoglein 1,3 | - | PV, PP |
Plakin family | - | PP |
原因 | GLA | 特徵 | |||
---|---|---|---|---|---|
Impetigo | S. aureus 與 S. pyogenes | - | |||
Bullous impetigo | S. aureus |
![]() |
- | ||
丹毒 Erysipelas | β-hemolytic streptococci | 年輕人和較老的成年 |
|
||
猩紅熱 Scarlet Fever | Group A, β-hemolytic streptococci | Palate, 3-12y |
|
||
Tonsillar concretions and Tonsillolithiasis | 脫落的角質蛋白和伴隨著次級細菌群落的外來物質 | - | 口臭,PANO | ||
白喉 Diphtheria | - |
Oral Hairy Leukoplakia (OLH)
EBV
HSV 最常用的治療藥物:Acyclovir (口服、藥膏都有,但是不能同時使用)
卡波西肉瘤(Kaposi1. sarcoma)
Candidiasis
不規則捲邊
球黴菌病 Coccidioidomycosis
副球黴菌病 Paracoccidioidomycosis
組織漿菌病
Palate 會出現紅點
口咽相通
口內 unhealing ulcer
唾液腺
頸部淋巴結
大多無症狀
TORCH syndrome
Hyperkeratosis
Hyperparakeratosis
偽上皮增生 (良性)
蕈狀乳突
需要切片
eosinophils 跑到 Lymph Follicle
eosinophils 跑到 Lymph Follicle
再來是惡性
口內
唾液腺
與免疫低下無關
B lymphocyte 的惡性腫瘤
過多免疫球蛋白堆積在細胞質
骨破壞
蛋白尿
punched out
Plasma cell 大小不一
κ chain 超多 (10:1) → 來自單株
可能表現 CD79a, CD56
最常見Soft tissue tumor: Irritation Fibroma
最常見sacroma: Liposarcoma
常見的週邊神經腫瘤: Neurofibroma
GFAP-: Palisaded encapsulated neuroma (PEN)
Sunburst 骨膜反應
Schwann
可能因為 RT 而產生的腫瘤,大多也對 RT 的反應不好:
成年人 Blast
VMA
Granular cell
touton giant cell
嗜酸性球
鹿角狀血管