- 65y 79kg 165cm
- 心肌梗塞、服用凝血
- CP: 刷牙 Bleeding
- Bleeding?
- 血小板
- Thrombocytopenia
- 出血: < 10 *109 cells/L (normal 220-250 *10^9)
- Thrombasthenia
- Coagulation Factor V mutation
- Vascular
- Inflammatory / Truma
- Durg
DM
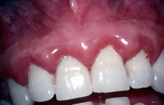
- Free gingiva: Inflammatory、hypertrophy、出血
- 周邊血管基底膜AGEs堆積,增厚

Advanced Glycation End-products (AGEs)
AGEs 是還原糖和蛋白質、脂質或核酸經過Maillard reaction,形成的穩定化合物。
- 結合模受體 RAGE
- 活化 NF-κB → TNF-α, IL-1β, IL-6
- Complete Blood Count (CBC)
- 特別
- Bleeding time
- Partial thromboplastin time
- Prothrombin time
- Thrombin time
- WBC, CRP (C-Reactive Protein), ESR (Erythrocyte Sedimentation Rate) ↑
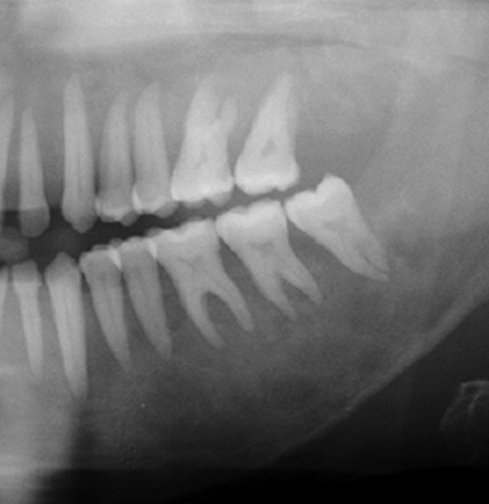
- CP:最近假牙及附近牙齒鬆動的很明顯。
- 平常很注意口腔衛生,尤其在更換新的假牙更注重牙周清潔。
- 口腔檢查確實牙周很好,但是牙齒確鬆動。
- X-光檢查發現牙周的齒槽骨有變化,牙根周圍的lamina dura 明顯的消失。
- 牙周乾淨 → not local cause
- lamina dura missing → 低血鈣 → Hyperparathyroidism
- 檢測
- Serum calcium
- Phosphorus
- PTH
- PTHRP
- Vit.D
有個欲做全口假牙的病患,在躺在治療椅上,醫師可以輕易聞到一股奇特的酸甜味道由病患口鼻中發出。此氣味來自病患的呼吸。病人是個有第二型糖尿病的中年男性。請問應做那些檢查可以評估現在病人的健康情形?
健康評估
- Blood:
- CBC
- AC (Ante Cibum / 空腹血糖)
- PC (Post Cibum)
- Biochemistry:
- BUN (Blood Urea Nitrogen)
- Cr.(Creatine, 肌酸酐)
- GOT, GPT
- HbA1C (3-4 月血糖平均):
- normal: 4-6.5%
- DM 前: 5.7-6.4%
- DM: >6.5%
- CP: 近來工作勞累,嘴唇冒出一些小水疱,很痛,有時口頰側也會出現白色線條狀變化。病人是個肝炎帶原者。
- 肝功能檢查
- GOT, GPT
- ALP
- HBV
- HCV
- HSV-1, 2
IgM: Reactive
- 尿檢
- PH: 4.5-8.0
- 褐: 肝炎
- 比重>1.018
- Nitrite (NO2-):
引起尿道感染的細菌大部份可使尿液中的
nitrate → nitrite
- 膽紅素(Bil)
- 當尿中有膽紅素時呈陽
性(+),表示可能有膽道阻塞或肝臟疾病等
- RBC, WBC < 5/HPF