原則

整理

Tooth development from lobes

前牙

上顎正門牙 > 上顎側門牙 > 下顎側門牙 > 下顎正門牙(最小Crown)

Canine

Premolars

Maxillary

first

Second

Mandibular

first

Second

Molar

Maxillary

Mandibular

Warning

  1. 上顎一大臼→5(if carabelli cusp)
  2. 下顎一大臼→5(have a total of 5 cusps, including distal cusp)
  3. 下顎二小臼→5(when there are two lingual cusps,舌側遠心 cusps 小)

Discussion of the force decay of invisible aligners immersed in saliva and applied force within seven days

乳牙

Maxillary first deciduous molar

Maxillary second deciduous molar

Mandible first deciduous molar

Mandible first deciduous molar

變異

融合 or Gemination

Gemination/ Fusion

Concrescence

數量異常

缺牙

hypodontia
缺牙症,缺不超過6顆牙
oligodontia
少牙症
anodontia
無牙

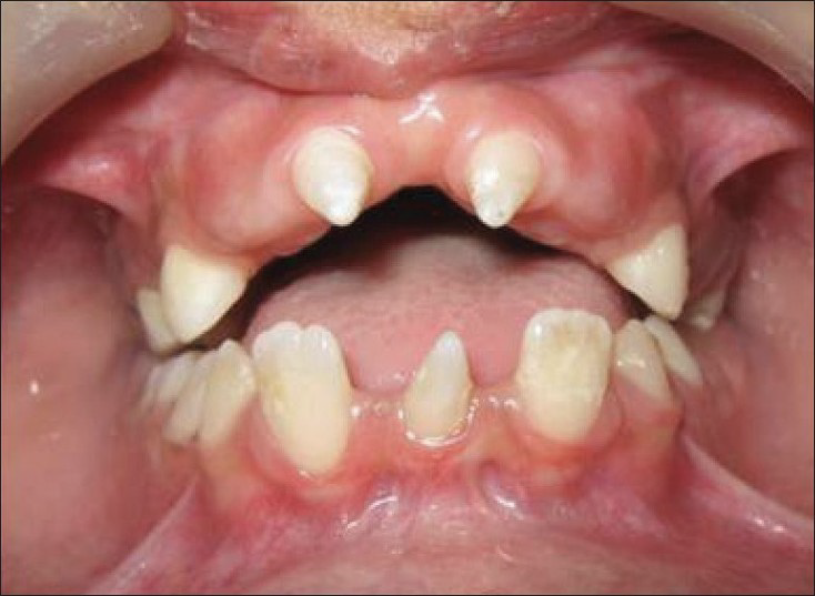
mesiodens

Supernumerary teeth (多生牙)

型態

conical/ peg-shaped teeth (Ectodermal Dysplasia)

Hutchson’s Teeth

Dilaceration

taurodontism

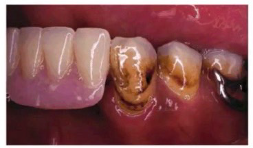
Enamel Pearls & Cervical enamel projection(CEP)

Turner’s tooth

Microdontia 小牙症

Macrodontia 巨牙症

Hypercementosis

Dens in Dent

Palatogingival Groove (PGG)

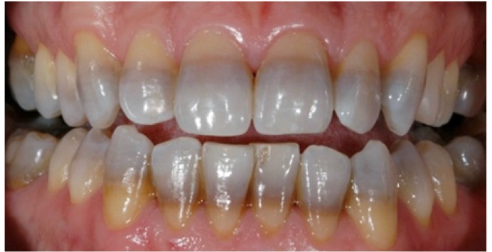
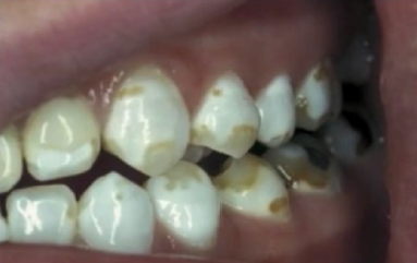
Stain

Tetracyclin Stain (TC stain)

Bacterial stains

Iron

Tobacco抽菸

Betel nuts stain

Fluorosis

牙冠內在問題

Dentinogenesis imperfecta(DI)

Regional odontodysplasia