Zona pellucida
caption
女性分泌刺激精子
Note
精子對側形成dorsal,β \beta β -catanin調節
Proliferation
增生
graph TD
m[morula, 桑葚]-->b[blastula/embryoblast, 囊胚]-->im[著床: d6]
im-->t[trophoblast cells]-->tt[胎盤]
im-->em[Inner cell mass]-->a[amniotic cavity]
em-->y[yolk sac]
y & a-->g[gastrulation: w3]-->f[胚胎開始摺疊:w4]
trophoblast cells
形成胎盤
embryoblast
分化成羊膜腔(amniotic cavity)與卵黃囊(yolk sac):
頭摺(head fold)、尾摺(tail fold)、側摺(lateral fold)
BMPs
bone morphogenetic proteins,腹背軸,刺激表皮,腹部表現。
Wnt
wingless,前後軸,頭頸部發育最早
SHH
(Sonic hedgehog) 左右分化,決定四肢以及腦脊髓正中線的形成
cadherins
細胞連結,分N,P,E,同性相吸
epithelial—mesenchymal transitions (EMT)
Slug,Snail,and Twist 負責打散epithelial cell形成mesenchymal
somites
軀幹形成肌肉、骨頭、結締組織
somitomeres(musculature)
頭頸部,八對連在一起,僅產生肌肉
neural crest cells(NCCs)
EMT打散,分化成頭頸部雜七雜八
八對連在一起,僅產生肌肉
1,2 形成顱顏,3-8 形成pharyngeal
Hox
somitomeres 3 之後表現
Dlx family
主導上下顎分支
除了 1st Pharyngeal pouch 形成內耳道,其他都形成腺體
I
III
IV
VII
IX
Cartilage
X
Hypertrophic zone (Cartilage)
XII
24d
24-28d
Med. nasal process → \rightarrow → 上顎門牙
26d
Frontal prominence
27d
Frontonasal process
Odontogenic epi. 開始
37-38d
4w
w5-w6
7-8w
舌頭下降
secondary palate 開始長,前往後聚合
9w
Dlx family 是主導上下顎分支的重要基因
7-8W開始發育 , 12W完成
由前向後方聚合
9W舌頭已經降到Secondary palate下,抬頭將提供向前空間
Arch 1 → \rightarrow → 舌尖
Arch 2,3,4 mesenchyme → \rightarrow → 舌根
Arch 4 → \rightarrow → epiglottis
occipital somites → \rightarrow → 舌肌肉
Mandible
6W 開始形成Meckel’s cartilage
7W mental foramen 開始膜內骨化
10W Meckel’s cartilage退化成 Incus, Malleus
Warning
Mandible 是 Meckel’s cartilage 旁邊的間質組織所形成的膜內骨化產生
都是膜內
Infraorbital foramen 開始膜內骨化
Sinus 內是空氣: 出生後發育
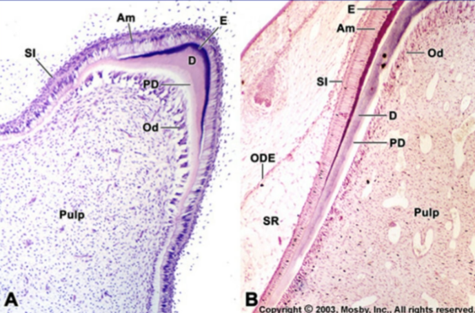
Primary epithelial band 侵入外胚層間葉組織(ectomesenchyme),形成 Dental, Vestibular lamina
除了Enamel來自表皮其餘都是來自ectomesenchyme
ectomesenchyme決定牙齒形狀
Note
上皮細胞先引導間葉,分化後失去功能,改由間葉調控
Ameloblast & Odontoblast
graph LR
IEE-->pa[preameloblasts]-->a[ameloblasts]-->e[enamel]
ec[ectomesenchymal cell]-->po[preodontoblasts]-->d[dentin]
pa-->|刺激|ec
d-->|刺激|pa
ectomesenchyme 引導萌發
zone of the clone 移到哪牙胚長到哪,複製前面的牙
實驗:分離要長成第一大臼齒的組織還是能往後依序長出三個臼齒
細胞分裂
Dental lamina 侵入
Condensation of ectornesenchyme
Enamel knot
牙齒開始形成位置,變成cusp
Enamel cord
OEE,IEE傳訊?功能不明
由上而下
星形網狀層(Stellate Reticulum)
Stratum intermedium (牙根無)
IEE → \rightarrow → Ameloblast
Dental papilla → \rightarrow → Odontoblast
向上生成pre dentine
pre dentine 引導 Ameloblast 生成 Enamel
Dental papilla → \rightarrow → Pulp tissue
Warning
先Dentine 後 Enamel
開始鈣化
pre dentine → \rightarrow → dentine
stellate reticulum 崩毀
Odontoblast, IEE 界線分出來,產生root sheath
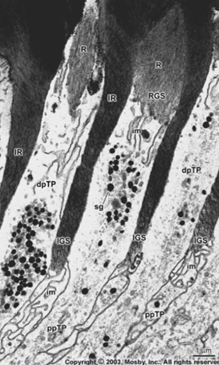
inter rod 在 rod 周圍,組成相同,走向不同
Rod sheath 卡在R, IR之間
Ameloblast 細胞間有 tight junction,Odontoblast無
Distal portion of Tomes’ process 開始長
生成時30%鈣化,整個長好再鈣化到96%(3年)
Tomes’ process
細胞凸起
如果有,enamel整齊
分成
distal portion 分泌 rod
proximal portion 分泌 inter rod
準備進入bell stage
無 Tomes’ process
IEE 準備形成 Ameloblast
分泌amelogenin ,先刺激生成 Dentin 再生成 Enamel
緊密 Ameloblast,核偏
Inner/Outer enamel 的 Tomes’ process沒出現,無Enamel rod & interrod
分泌完成,開始鈣化,約三年
Ameloblast 亂排
Ruffle-ended (80%)
Smooth-ended (20%)
細胞間疏鬆,送出polypeptide
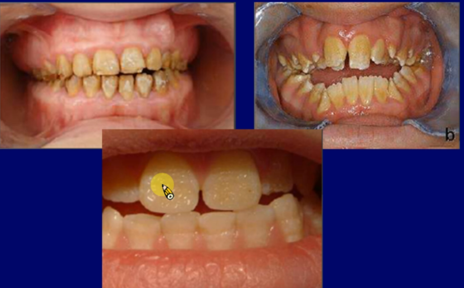
Amelogenesis imperfecta
amelogenins
Ameloblastin
Enamelin
Enzymes (打斷 protein)
Rods
Striae of Retvius 延伸到表面
Bands of hunter and Schreger
光下深淺斑紋
垂直rod,rod生長時狀態不同導致
Cusp 亂七八糟 Enamel
有機物渣渣聚集
rods 從 Dentin 到 Enamel 轉向造成
由DEJ伸出,短短的不會延長到牙齒表面。
DEJ
Odontoblast 細胞突出
常見於cusp tip,比tufts 小很多,需放大倍看。
Dental tubules
Crown 顏色深明顯,接近root 孔洞變大,密度高
Crown
root
graph TD
D[Dentin]-->|root 形成前|p[Primary]
p-->m[Mantle]
p-->pi[Peri/Intertubular]
D-->|root 形成後|s[secondary]
D-->|外界刺激|t[Tertiary]
Peritubular/ Intertubular dentin
Dental tubules 周圍/ 中間
Primary/ secondary dentin
牙根形成前/ 後 dentin (牙根形成需兩年)
Mantle dentin
第一層 predentin 緊鄰 Enamel
Tertiary dentin
不規則,修復性的
Interglobuler
礦化不全
Granular layer of Tomes
DCJ的黑點們 (protein)
Incremental Growth Lines
Enamel, Dentin 年輪們 ,lines of Retzius, Owen
Fluid movements in the dentinal tubules
the tubular nature of dentin permits fluid movement to occur within the tubule when a stimulus is applied – a movement registered by pulpal free nerve endings close to the dentin.
Cells
Odontoblast, Fibroblast, white-blood cells, Undifferentiated mesenchymal cells, Macrophages and Lymphocytes.
No fat cell
reticular/ collagen fibres (Type I,III).
Odontoblast
產生 Secondary dentin / Tertiary dentin
Pulp stone
True (Denticle): 有Dental tubules,跟 Dentin 分離
False (Concentric): 無Dental tubules
Diffuse Pulp Calcification
根管越來越小
Bone + PDL + Cementum + Gingiva = 牙周
長到能咬合之前/後: Pre/ functional stage
type I collagen
type III collagen
type XII
Cervical loop → Hertwig’s epithelial root sheath (HERS)
HERS 刺激 Pulp tissue 轉化成 Odontoblast → Predentin → Dentin
Dentin 刺激 HERS 斷裂
Dental follicle 接觸 Predentin 轉化成 Cementoblasts
HERS
RGD motif
Cervical: 50μm,Apical: 200μm
Primary cementum,牙根形成就長
第一層 Cementoblast 應該具有 Fibroblast 特徵,去跟Dentin 黏在一起
Cementum 大概 15-20μm 開始礦化(有方向性)
外層 Cementoblasts 向內分泌 Matrix Protein
PDL fiber 伸到 Cementum 裡面
越裡面越低(45-60%)
上2/3主要固定牙齒
CEJ 附近
Alveolar crest在CEJ下 1.5-2mm
沒固齒能力
Precursors cell
blast
來自Mesenchymal cell
osteoprogenitors
preosteoblasts
osteoblasts
可以 mitosis
不活化稱為 Bone-lining cell
被分泌物包起來稱 osteocytes
osteocytes,
bone-lining cells
有 tartrate-resistant acid phosphatase
住在 Howship’s lacunae
Sealing zone 負責密封
VitD, PTH(副甲狀腺素) 低濃度促進骨生成,反之促進骨吸收
Calcitonin(降鈣素), Estrogen(雌激素) 抑制骨吸收
Glucocorticoid(醣皮質素) 大部分抑制生成
FGF23 跟磷消耗相關
Leptin 抑制骨生成
Sclerostine(SOST) 抑制骨生成
osteocytes 分泌,抑制 Wnt 和 LRP5/6結合
PTH 抑制
Calcitonin 促進
Wnt 促進骨生成,抑制脂肪
Osteoclast 生成
Osteoprotogerin 結合 RANKL 抑制
有方向性,Longitudinal septa 被留下來
Woven bone
未成熟
Noncollagen portein 多
先 clast ,再 blast 回來
Blast 填滿變成 Filling cone
Rest line v.s. reversal line
osteocytes 決定
成人
Cortical bone 5% per year
Trabecular bone 15% per year
0.15mm-0.38mm 中1/3最窄
用進廢退
年紀越大越窄
frenum insertion
繫帶過長
Matrix Gla protein(MGP)
阻止 PDL 鈣化
Fibroblast:
Epithelial Cells
Undifferentiated Mesenchymal Cells
Stem Cells
Bone and Cementum Cells
Collagen fiber III
Repair self, cementum, bone
Collagen fiber I
Sharpey’s fiber
往內往外,僅 AEFC 完全鈣化
Collagen fiber XII
5 Group, Oblique 多
另外 5 Group
Oxytalan fibers
vertically from the cementum surface
調節血流,Cervical third 多
Shedding and Eruption of tooth
Natal tooth
出生就有牙
Crowing
擁擠,Mandibula 長不夠
crown completed ⟶ 3 y e a r \mathop{\longrightarrow}\limits^{3year} ⟶ 3 ye a r time of emergence ⟶ 3 y e a r \mathop{\longrightarrow}\limits^{3year} ⟶ 3 ye a r root completed
Dental lamina 殘餘
Fordyce’s granules
皮脂腺
在lamina propria
神經、血管、腺體都在Submucosa
Waldeyer’s ring
淋巴(上皮往內凹)
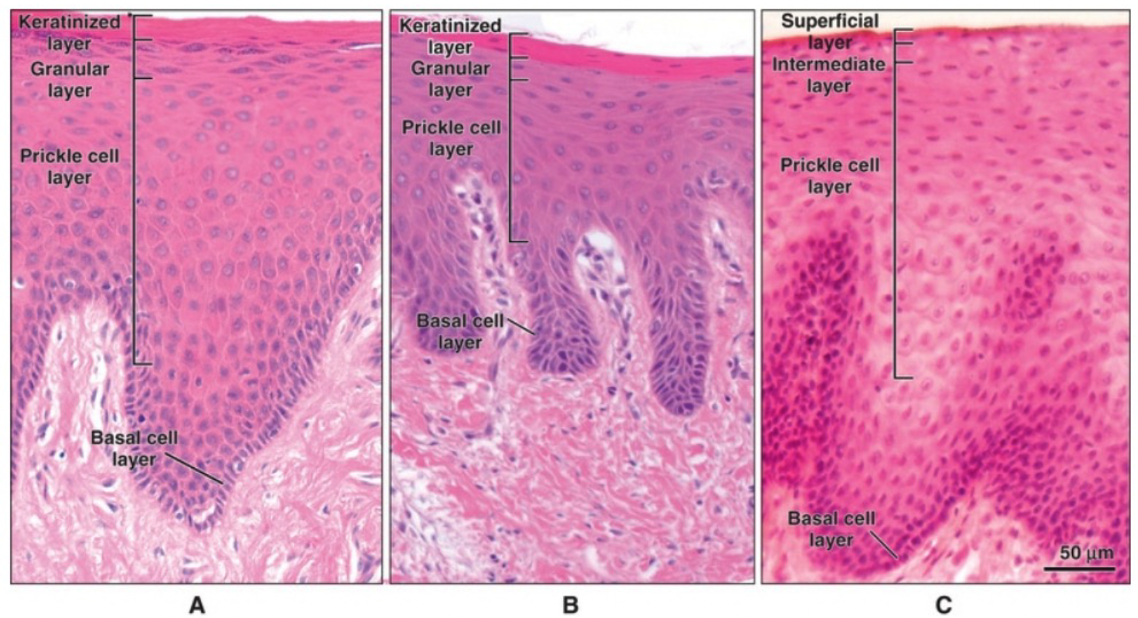
Epithelial Proliferation
A: Orthokeratinization in human gingiva
B: Parakeratinization in human gingiva
C: Nonkeratinization in primate buccal epithelium
立方形
分化最少
Lamina lucida,透明層
Lamina densa,緻密層
Lamina fibroreticularis,網狀纖維板或Sublamina densa,副緻密層
包膜顆粒
糖脂質
Note
cytokeratin, CK
不同的上皮細胞有不同種類的CK,就算同種細胞,不同的層次表現的CK也不盡相同
上皮內側後
Vermillon zone(唇紅區), Intermediate zone 有角質化,無附屬構造
真皮乳突,微血管環
角化→非角化
Lamina propria 從膠原纖維(連骨頭),到 Elastic fiber
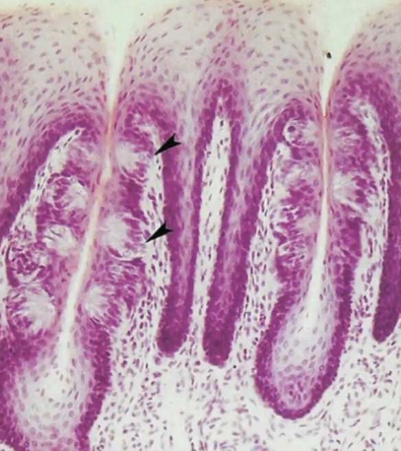
Free gingiva
Attached/gingiva
Junctional epithelium
Interdental papilla
gingiva sulcus
gingiva crevicular fluid
連Basal lamina 與牙齒
缺 collagen IV , anchoring fiber
利用 Hemidesmosome
牙齦點班
抗磨耗
男性深
後牙 papilla 之間,無角化
Filiform
缺B12 或貧血患者缺乏
Fungiform Papilla
Filiform 之間
Foliate papilla
舌後方測緣
黑箭頭是味蕾
Circumvallate papilla
50% of all taste buds
角化上皮覆蓋
味蕾在兩側
深溝
Von Ebner’s glands
Von Ebner’s glands
純漿液腺
軟顎、會厭都有味蕾
舌
甲狀腺在舌頭上發育留下來的痕跡,
甲狀腺後沿著甲狀舌管 (thyroglossal duct)到現在的位置
若未消失會與甲狀舌管連在一起,形成甲狀舌管囊腫 (thyroglossal duct cyst)
舌後1/3的淋巴組織,許多舌濾泡組成
每個濾泡含一個或一個以上的淋巴小結,可含生發中心
與腭扁桃體和咽扁桃體一起構成口咽部的淋巴環
因為唾液腺退化,被脂肪組織或纖維組織取代,而無法分泌唾液,口腔黏膜較平滑、乾燥
上皮萎縮且變得更脆弱,因此對特定物質變得更為敏感、易受傷
上皮變得更薄,上皮和結締組織的接觸面變平
絲狀乳突數量減少,葉狀乳突可增生,此時飲食中如缺乏維生素B等營養成分,則上述變化更明顯
固有層中細胞會減少而膠原蛋白和纖維增加
主要的唾液腺都會大量萎縮,被脂肪、纖維所取代。黏膜各處的小唾液腺發生明顯萎縮,被增生的纖維組織取代。所以在老年患者中,特別是停經後的女性往往出現口乾、黏膜燒灼感及味覺異常等
嘴唇和頰側皮脂腺會增加
神經末梢的密度降低,味蕾數量減少,黏膜感覺功能下降
老人容易口乾、敏感,但除了口腔黏膜變薄及唾液分泌減少,並無特別病變
口腔靜脈曲張 (varicosities) (下圖):主要發生在老年人舌腹
結石:大約有80-92%唾液腺結石是發生在「頜下腺」,發生在「腮腺」的結石則大約為6-20%,而從「舌下線」或小唾液腺則很少發生唾液腺結石
口解
兩生(A),爬蟲(B)由Meckel’s cartilage 終末端和顎方骨(palatoquadrate bar)形成關節
哺乳類(C,D)開始有 coronoid process
Meckel’s cartilage 形成 incudomalleolar joint
初級顳顎關節存在時間為四個月左右,
第三個月次級顳顎關節形成
A為12 周胎兒的發育圖,
B: 下關節腔較上關節腔早形成