Bud stage

Cap stage

Early bell stage

Warning

先Dentine 後 Enamel

Late/ Crown/ Advance bell stage

110

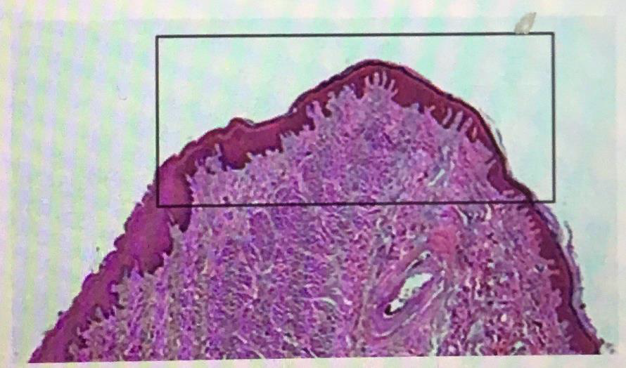
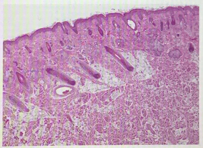
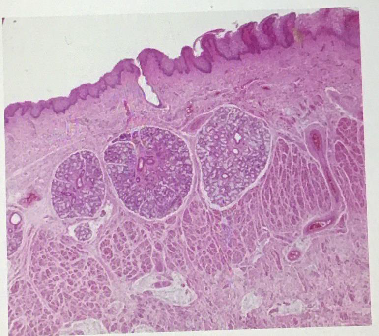
Oral mucosa

labial mucosa

vermilion zone

Dermal papillae

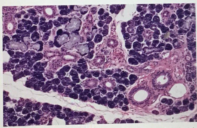
Sublingual gland

Parotid gland

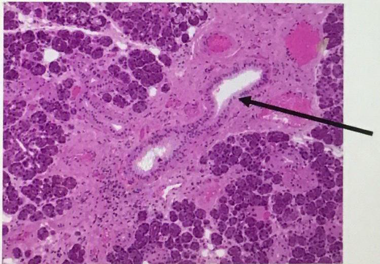
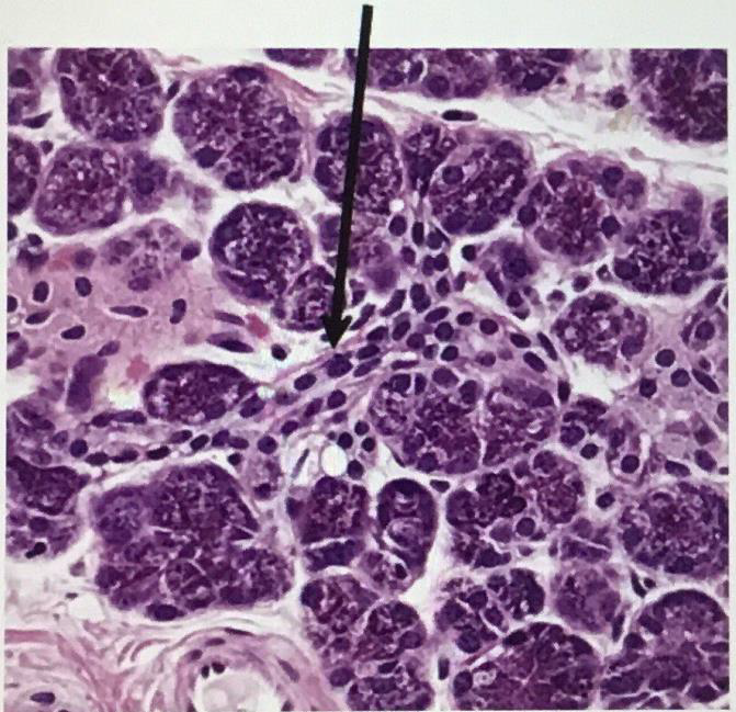
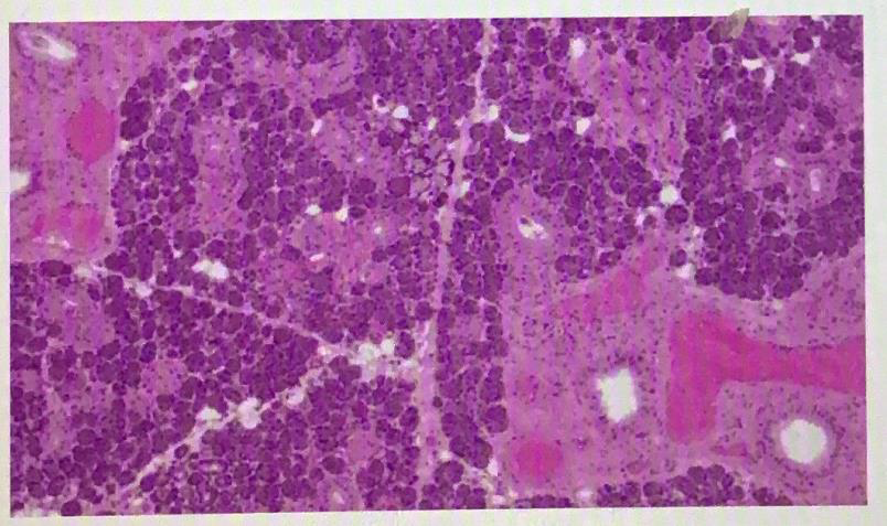
Submandibular gland

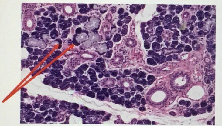
Serous demilune

myoepithelial cell

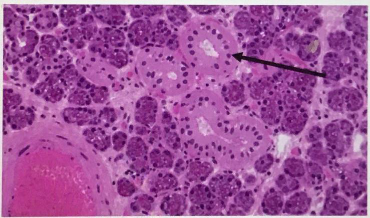
intercalated duct

striated duct

Excretory duct

pseudostratified columnar epithelium

Circumvallate papillae

Foliate papillae

Fungiform papillae

taste bud

Von ebner’s gland

Hard palate rugae

Hard palate

Filiform papillae

taste pore

Mucous gland

Serous gland

Serous gland