{}
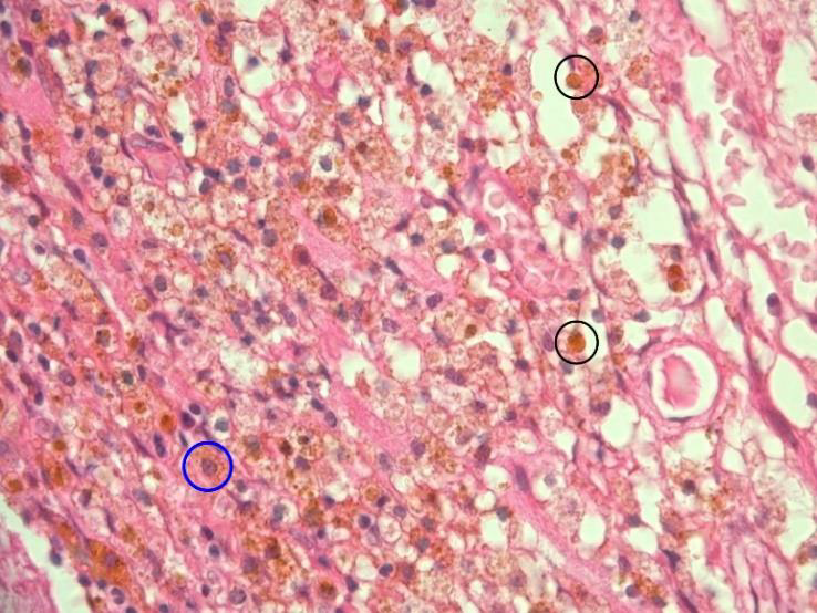
Caseous necrosis
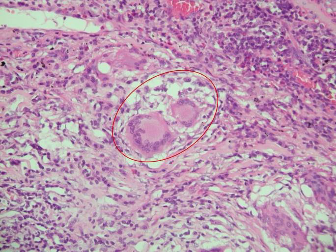
langhans giant cell
Fat necrosis: 急性胰臟炎(acute pancreatitis)
Gangrenous necrosis
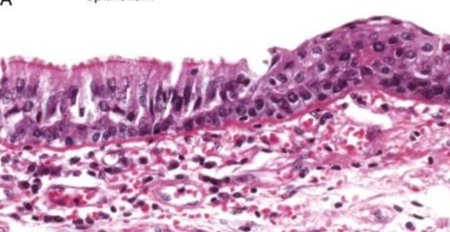
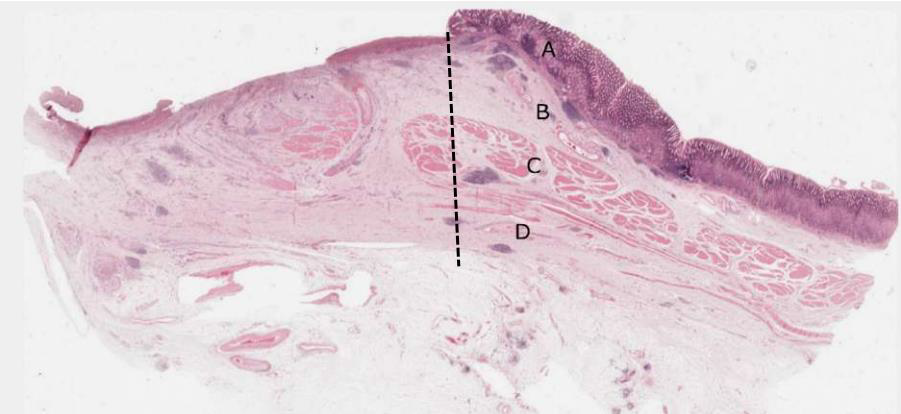
Squamocolumnar junction
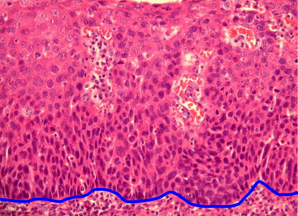
stratified squamous epithelium
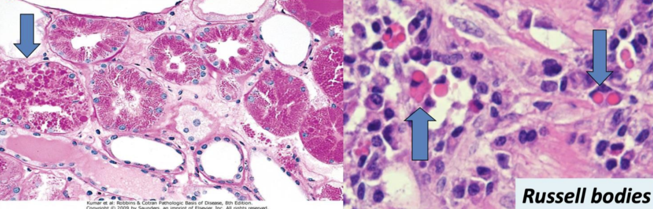
合成過多的分泌性蛋白:漿細胞分泌免疫球蛋白(immunoglobin)後儲存在細胞內形成Russell bodies
Dystrophic calcification
{}
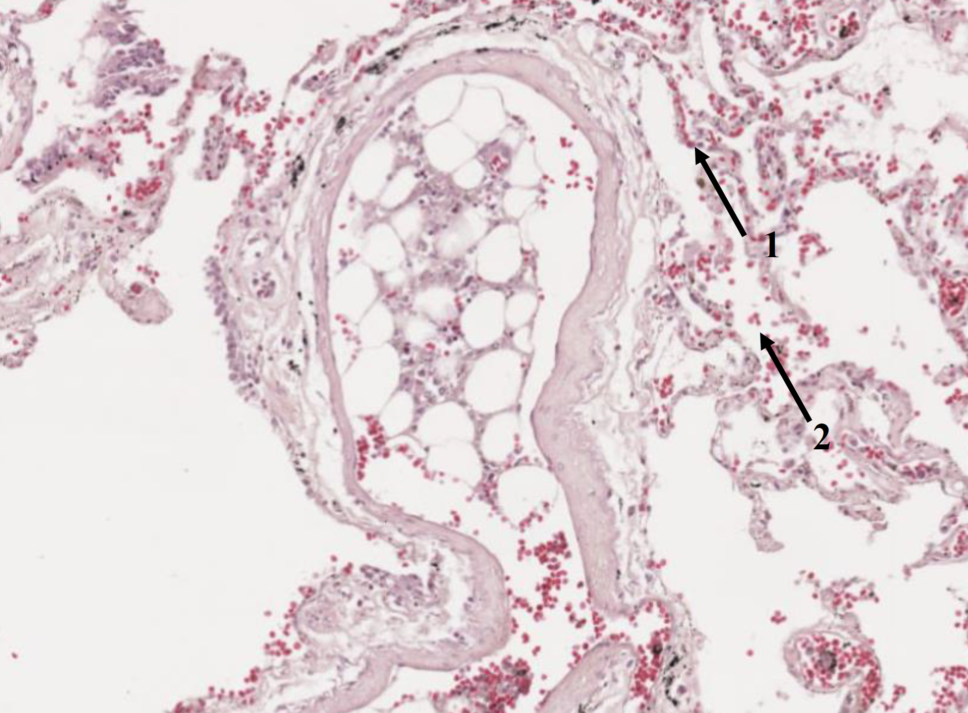
肺泡壁分布是congestion,亂糟糟的就是hemorrhage
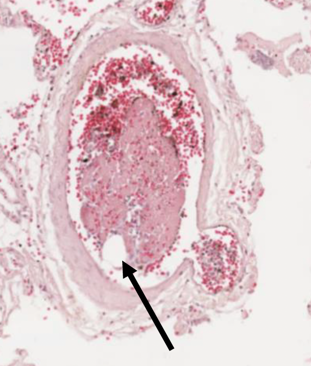
fat emboli
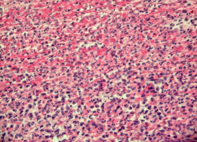
acute appendicitis
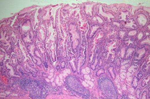
ulcer, stomach
壁細胞(Parietal cell):紅色圓圓細胞,分泌HCL和intrinsic factor。
主細胞(Chief cell):藍紫色細胞,分泌蛋白酶。
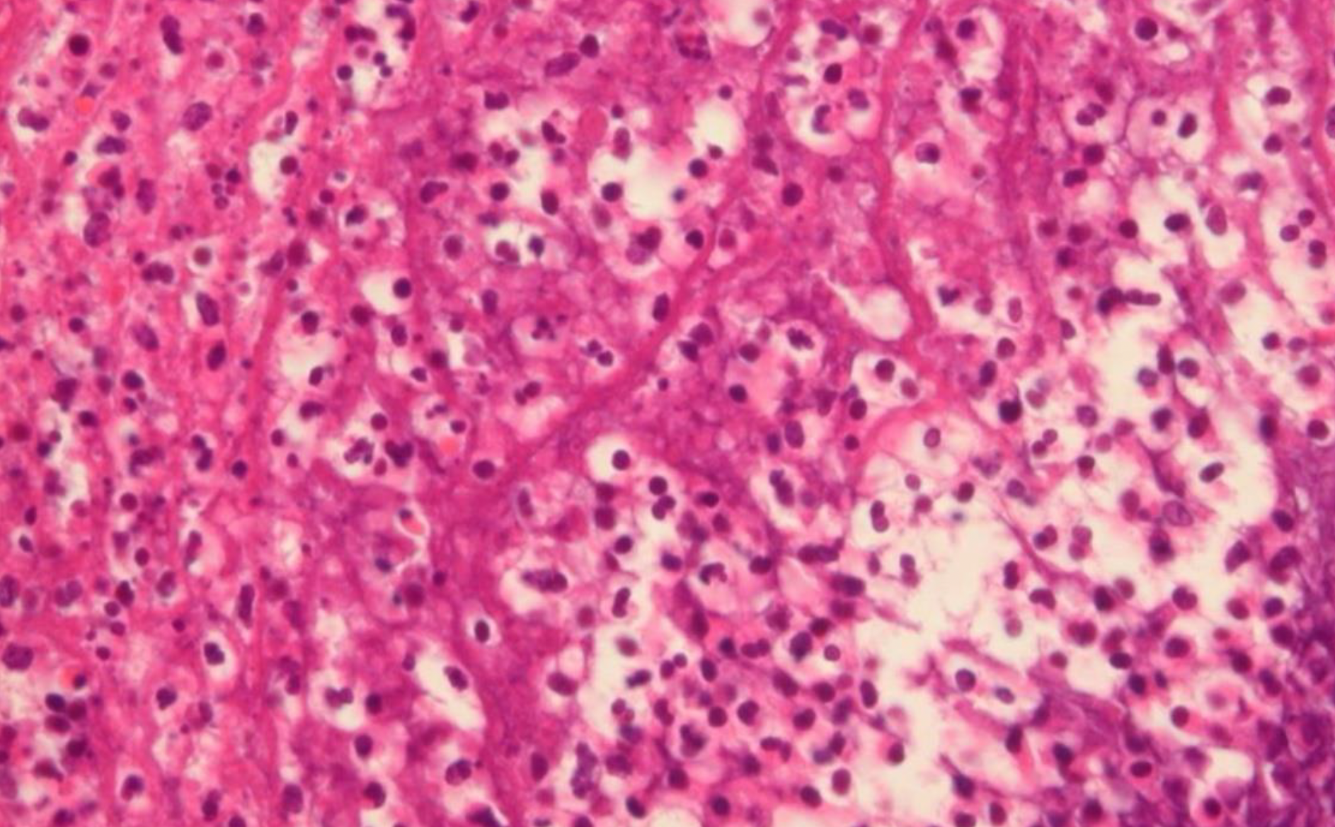
necrotic tissue
fibrotic tissue
granulation tissue
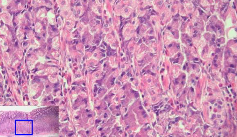
幽門腺黏膜 (pyloric gland)
intestinal metaplasia (Goblet cell)
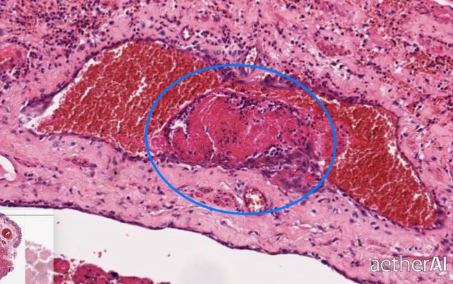
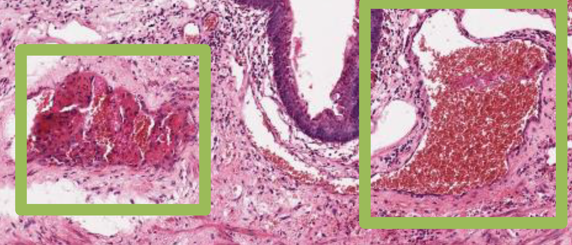
若是血栓形成較久(右圖左),organization會較完整,則血栓內的顏色較淡、fibrin較多、有較多內皮細胞。要與congestion(右圖右,也就是剛形成的fresh thrombus)區分。
fibrin堆積形成的thrombus
Plasma 血漿
Hemorrhage
腸子的submucosa,edema
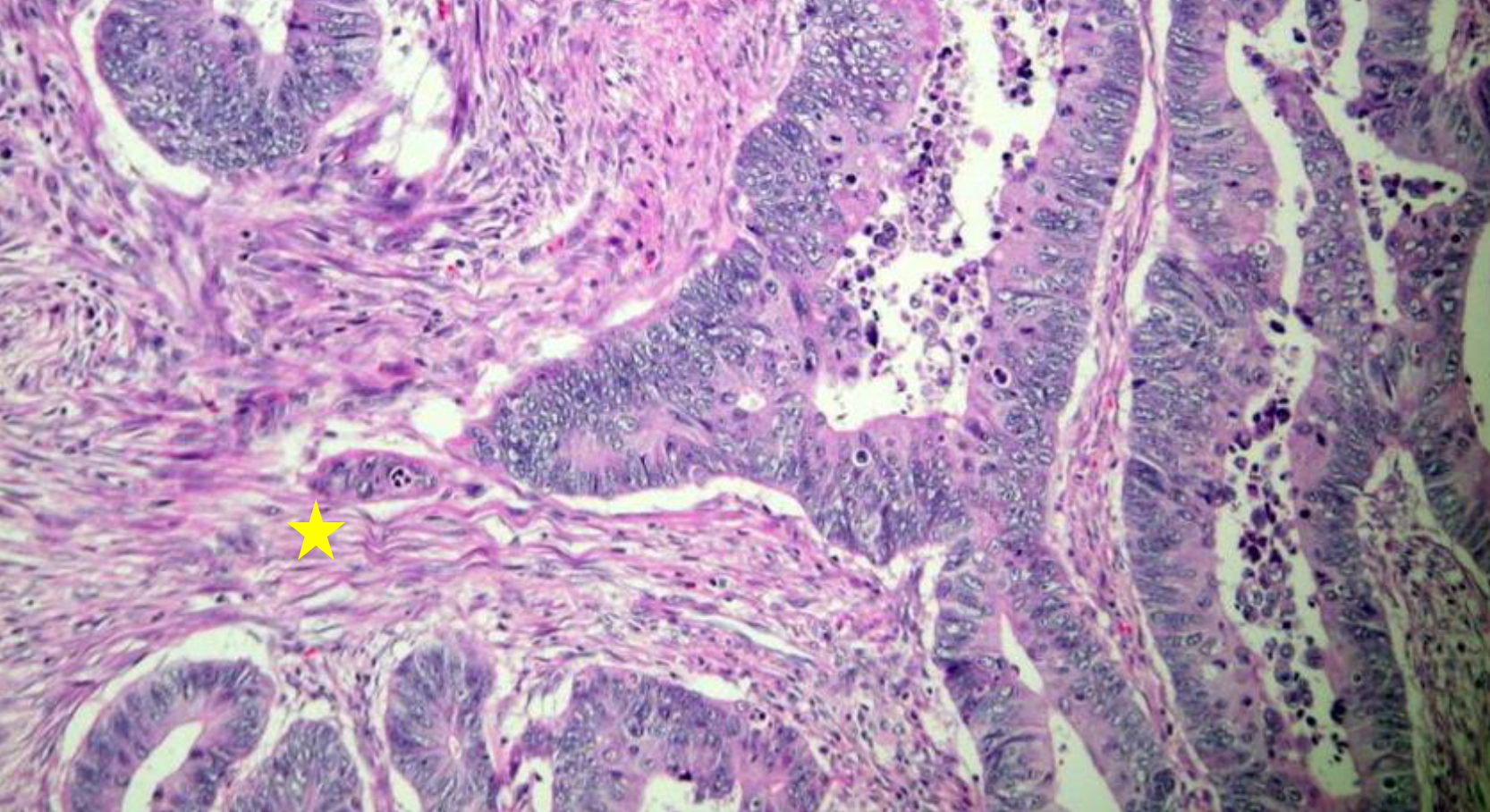
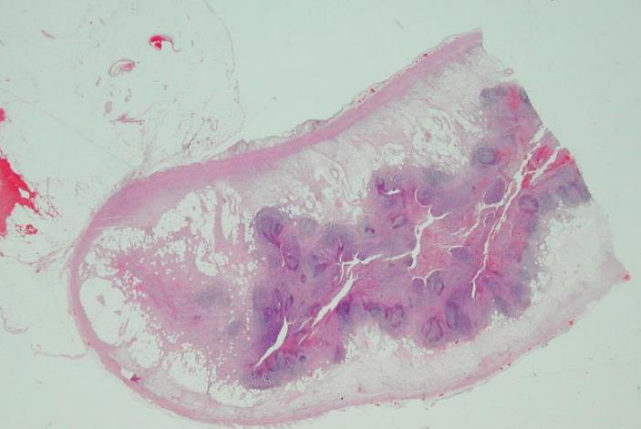
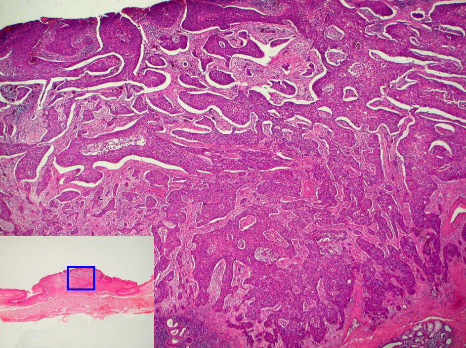
adenocarcinom
desmoplasia(黃色星號)
invade
carcinoma i situ
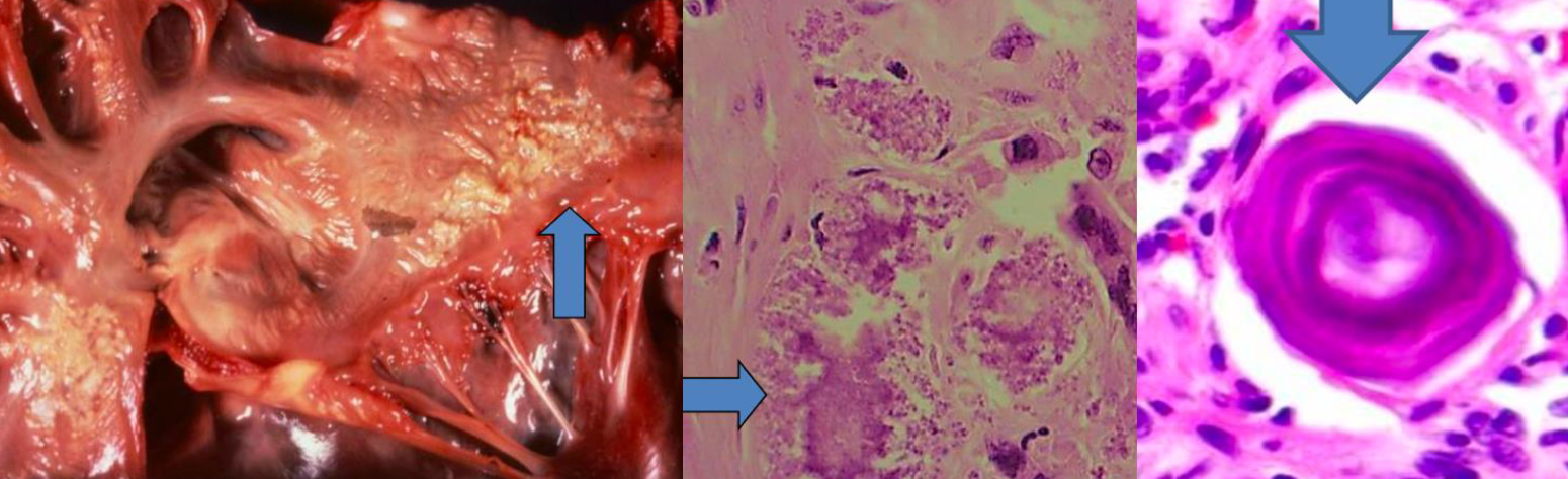
動脈粥狀硬化
破裂
動脈瘤
基質細胞